missing translation for 'onlineSavingsMsg'
Learn More
Learn More
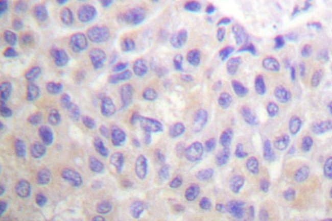
Invitrogen™ p130Cas Polyclonal Antibody

Rabbit Polyclonal Antibody
Brand: Invitrogen™ PA586328
This item is not returnable.
View return policy
Description
Purity is > 95% by SDS-PAGE.
The p130Cas (Cas for Crk-associated substrate) is a common cellular target of phosphorylation signal via v-Crk and v-Src oncoproteins. p130Cas has a unique structure that contains a Src homology (SH)-3 domain followed by multiple YXXP motifs and a proline-rich regionp130Cas is implicated in a variety of biological processes including cell adhesion, cell migration, growth factor stimulation, cytokine receptor engagement and bacterial infection. Physiological functions of p130Cas include cardiovascular development, actin filament assembly and Src-induced cell transformation.
Specifications
| p130Cas | |
| Polyclonal | |
| Unconjugated | |
| BCAR1 | |
| AI385681; BCA1; Bcar1; BCAR1 scaffold protein, Cas family member; BCAR1, Cas family scaffold protein; BCAR1, Cas family scaffolding protein; breast cancer anti-estrogen resistance 1; breast cancer anti-estrogen resistance protein 1; Cas; Cas scaffolding protein family member 1; CAS1; CASS1; CRKAS; CRK-associated substrate; Crk-associated substrate p130Cas; OTTHUMP00000174941; p130 Cas; P130CAS; p130Cas (pTyr410); p130Cas (pY410); p130Cas phospho; phospho p130Cas; v-crk-associated tyrosine kinase substrate | |
| Rabbit | |
| Antigen affinity chromatography | |
| RUO | |
| 12927, 25414, 9564 | |
| Store at 4°C short term. For long term storage, store at -20°C, avoiding freeze/thaw cycles. | |
| Liquid |
| Immunohistochemistry (Paraffin) | |
| 1 mg/mL | |
| PBS with 50% glycerol and 0.02% sodium azide; pH 7.2 | |
| P56945, Q61140, Q63767 | |
| BCAR1 | |
| Synthetic peptide, corresponding to amino acids 140-180 of Human p130 Cas. | |
| 100 μL | |
| Primary | |
| Human, Mouse, Rat | |
| Antibody | |
| IgG |
Product Content Correction
Your input is important to us. Please complete this form to provide feedback related to the content on this product.
Product Title
Spot an opportunity for improvement?Share a Content Correction