missing translation for 'onlineSavingsMsg'
Learn More

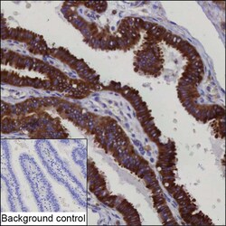
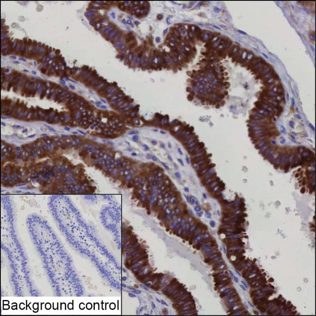
Invitrogen™ OSBPL11 Recombinant Mouse Monoclonal Antibody (K8U045_10G5)

Product Code. 30827406
Change view
Click to view available options
Quantity:
50 μL
100 μL
2 product options available for selection
Product selection table with 2 available options. Use arrow keys to navigate and Enter or Space to select.
Product Code. Quantity
30827406 50 μL
30827079 100 μL
Use arrow keys to navigate between rows. Press Enter or Space to select a product option. 2 options available.
2 options
This item is not returnable. View return policy
Product Code. 30827406 Supplier Invitrogen™ Supplier No. MA565959

Please to purchase this item. Need a web account? Register with us today!

This item is not returnable. View return policy

Mouse Recombinant Monoclonal Antibody

Immunogen sequence: SHQKGSLPSG TTIEWLEPKI SLSNHYKNGA DQPFATDQSK PVAVPEEQPV AESGLLAREP EEINADDEIE DTCDHKEDDL GAVEEQRSVI LHLLSQLKLG MDLTRVVLPT FILEKRSLLE MYADFMSHPD LFIAITNGAT AEDRMIRFVE YYLTSFHEGR KGAIAKKPYN PIIGETFHCS WKMPKSEVAS SVFSSSSTQG VTNHAPLSGE Highest antigen sequence identity to the following orthologs: Mouse - 87%, Pig - 92%, Cynomolgus monkey - 98%.

This gene encodes a member of the oxysterol-binding protein family, a group of intracellular lipid receptors. Like most members, the encoded protein contains an N-terminal pleckstrin homology domain and a highly conserved C-terminal OSBP-like sterol-binding domain.
TRUSTED_SUSTAINABILITY

Specifications

Antigen OSBPL11
Applications Immunohistochemistry (Paraffin)
Classification Recombinant Monoclonal
Clone K8U045_10G5
Concentration 1 mg/mL
Conjugate Unconjugated
Formulation PBS with 0.5% BSA, 50% glycerol and 0.09% sodium azide
Gene OSBPL11
Gene Accession No. Q9BXB4
Gene Alias 9430097N02Rik; AI132306; AU019795; FLJ13012; FLJ13164; ORP11; ORP-11; OSBP12; OSBPL11; OSBP-related protein 11; oxysterol binding protein like 11; oxysterol binding protein-like 11; oxysterol-binding protein-related protein 11; TCCCIA00292; testicular tissue protein Li 132
Gene Symbols OSBPL11
Host Species Mouse
Immunogen Recombinant human OSBPL11 (aa 281-490).
Purification Method Protein A
Quantity 50 μL
Regulatory Status RUO
Primary or Secondary Primary
Gene ID (Entrez) 114885
Target Species Human
Content And Storage Maintain refrigerated at 2-8°C for up to 1 month. For long term storage store at -20°C
Product Type Antibody
Form Liquid
Isotype IgG2a
Show More Show Less
Product Title
Select an issue

By clicking Submit, you acknowledge that you may be contacted by Fisher Scientific in regards to the feedback you have provided in this form. We will not share your information for any other purposes. All contact information provided shall also be maintained in accordance with our Privacy Policy.