missing translation for 'onlineSavingsMsg'
Learn More
Learn More
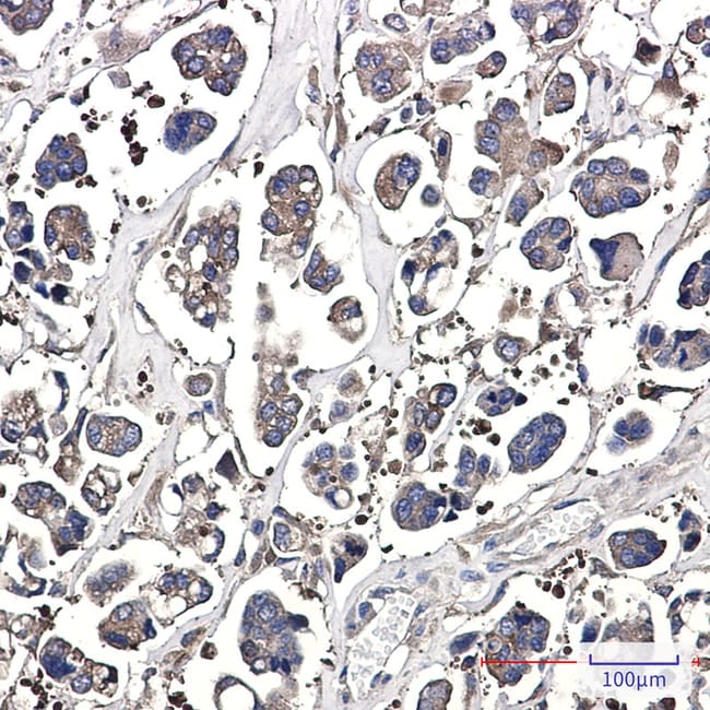
Invitrogen™ Optineurin Recombinant Rabbit Monoclonal Antibody (K01_2N71)

Beschreibung
Optineurin Recombinant Monoclonal Antibody for IHC (P), Western Blot
This gene encodes the coiled-coil containing protein optineurin. Optineurin may play a role in normal-tension glaucoma and adult-onset primary open angle glaucoma. Optineurin interacts with adenovirus E3-14. 7K protein and may utilize tumor necrosis factor-alpha or Fas-ligand pathways to mediate apoptosis, inflammation or vasoconstriction. Optineurin may also function in cellular morphogenesis and membrane trafficking, vesicle trafficking, and transcription activation through its interactions with the RAB8, huntingtin, and transcription factor IIIA proteins. Alternative splicing results in multiple transcript variants encoding the same protein.
Spezifikation
Spezifikation
| Antigen | Optineurin |
| Applications | Immunohistochemistry (Paraffin), Western Blot |
| Classification | Recombinant Monoclonal |
| Clone | K01_2N71 |
| Concentration | 1 mg/mL |
| Conjugate | Unconjugated |
| Formulation | 50mM tris glycine with 0.05% BSA, 150mM NaCl, 40% glycerol and 0.01% sodium azide; pH 7.4 |
| Gene | OPTN |
| Gene Accession No. | Q96CV9 |
| Gene Alias | 14.7K-interacting protein 2; 4930441O07Rik; Ag9 C5; ALS12; E3-14.7K-interacting protein; FIP 2; FIP2; FIP-2; FIP-2-like protein; GLC1E; HIP 7; HIP7; HIP-7; Huntingtin interacting protein L; huntingtin yeast partner L; Huntingtin-interacting protein 7; huntingtin-interacting protein L; HYPL; NEMO-related protein; NRP; Optic neuropathy-inducing protein; optineurin; Optn; TFIIIA IntP; TFIIIA-IntP; transcription factor IIIA-interacting protein; transcrption factor IIIA-interacting protein; tumor necrosis factor alpha-inducible cellular protein containing leucine zipper domains; Uban |
| Mehr anzeigen |
Name des Produkts
Indem Sie auf Absenden klicken, erklären Sie sich damit einverstanden, dass Fisher Scientific sich mit Ihnen in Verbindung setzen kann, um Ihr Feedback in diesem Formular zu bearbeiten. Wir werden Ihre Informationen nicht für andere Zwecke weitergeben. Alle bereitgestellten Kontaktinformationen werden in Übereinstimmung mit unserer Datenschutzrichtlinie aufbewahrt. Datenschutzrichtlinie.
Haben Sie Verbesserungsvorschläge?