missing translation for 'onlineSavingsMsg'
Learn More
Learn More
Invitrogen™ Opticin Polyclonal Antibody

Rabbit Polyclonal Antibody
Brand: Invitrogen™ PA5111046
This item is not returnable.
View return policy
Description
Immunogen sequence: LPRKERKRRE EQMPREGDSF EVLPLRNDVL NPDNYGEVID LSNYEELTDY GDQLPEVKVT SLAPATSISP Highest antigen sequence indentity to the following orthologs: Mouse - 50%, Rat - 46%.
Opticin, also known as OPTC or OPT, is a 332 amino acid protein that is secreted into the extracellular matrix and contains seven LRR repeats. Expressed in skin and fetal liver and also present in ocular tissues, such as the retina, cornea and iris, opticin functions to bind collagen fibrils and, via this interaction, is thought to regulate fibril spacing, morphology and organization. Opticin is subject to post-translational O-glycosylation and may be associated with the pathogenesis of primary open angle glaucoma.
Specifikationer
| Opticin | |
| Polyclonal | |
| Unconjugated | |
| OPTC | |
| dermatan sulfate proteoglycan 3; dspg3; Oculoglycan; OPT; Optc; optcl; opticin; SLRP; SLRP protein; small leucine-rich repeat protein; small leucine-rich repeat protein (SLRP); wu:fb81a05; zgc:101047 | |
| Rabbit | |
| Antigen affinity chromatography | |
| RUO | |
| 26254 | |
| Store at 4°C short term. For long term storage, store at -20°C, avoiding freeze/thaw cycles. | |
| Liquid |
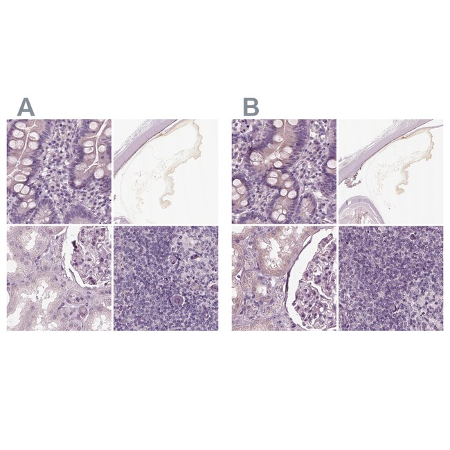
| Immunohistochemistry (Paraffin), Western Blot | |
| 0.20 mg/mL | |
| PBS with 40% glycerol and 0.02% sodium azide; pH 7.2 | |
| Q9UBM4 | |
| OPTC | |
| Recombinant Protein corresonding to Human Opticin. Recombinant protein control fragment (Product #RP-104649). | |
| 100 μL | |
| Primary | |
| Human | |
| Antibody | |
| IgG |
Korrigering av produktinnehåll
Din input är viktig för oss. Fyll i det här formuläret för att ge feedback relaterad till innehållet på denna produkt.
Produkttitel
Hittar du en möjlighet till förbättring?Dela en innehållskorrigering