missing translation for 'onlineSavingsMsg'
Learn More
Learn More
Invitrogen™ OASL Recombinant Rabbit Monoclonal Antibody (HL2399)

Rabbit Recombinant Monoclonal Antibody
Brand: Invitrogen™ MA550518
This item is not returnable.
View return policy
Description
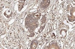
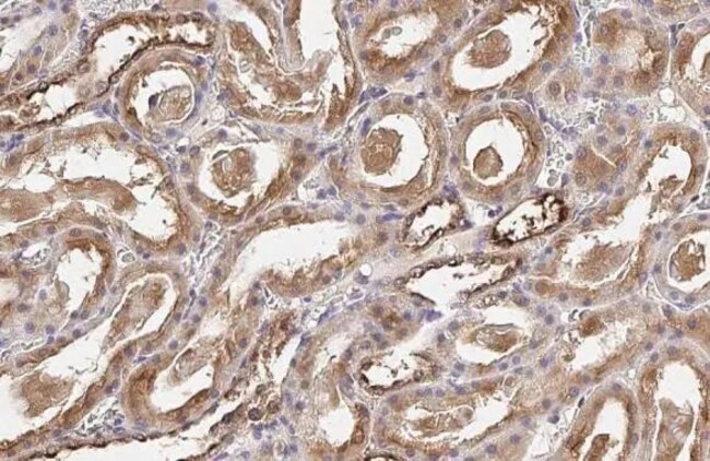
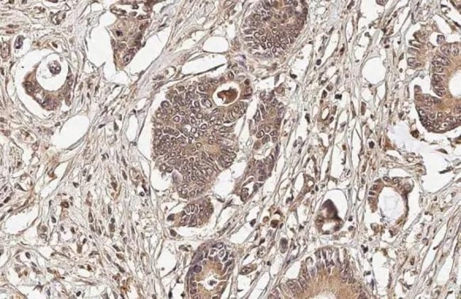
OASL Recombinant Monoclonal Antibody for Western Blot, IHC (P)
2-prime,5-prime oligoadenylates (2-5As) bind to and activate RNase L, leading to degradation of RNA and inhibition of protein synthesis. 2-5As are produced by 2-5A synthetases (OASs), a highly-conserved family of interferon-induced enzymes. The predicted 514-amino acid human p59OASL (2-5A synthetases-like) protein shares a highly conserved N-terminal domain with other OASs. The C-terminal portion of p59OASL contains 2 ubiquitin-like domains. p59OASL is expressed in most tissues, with the highest levels in hematopoietic tissues, colon, and stomach.
Specifications
| OASL | |
| Recombinant Monoclonal | |
| 1 mg/mL | |
| PBS with no preservative | |
| Q15646 | |
| OASL | |
| Recombinant fragment of human OASL. | |
| 100 μL | |
| Primary | |
| Human | |
| Antibody | |
| IgG |
| Immunohistochemistry (Paraffin), Western Blot | |
| HL2399 | |
| Unconjugated | |
| OASL | |
| 2',5'-oligoadenylate synthetase-like 9; 2,5-oligoadenylate synthetase-like 9; 2'-5' oligoadenylate synthetase-like 1; 2'-5'-OAS-related protein; 2'-5'-OAS-RP; 2'-5'-oligoadenylate synthase-like protein; 2'-5'-oligoadenylate synthase-like protein 1; 2'-5'-oligoadenylate synthetase like; 2'-5'-oligoadenylate synthetase-like; 59 kDa 2'-5'-oligoadenylate synthase-like protein; 59 kDa 2'-5'-oligoadenylate synthetase-like protein; 7530414C13Rik; OASL; Oasl1; oasl9; OASLd; p59 OASL; p59OASL; p59-OASL; Thyroid receptor-interacting protein 14; TR-interacting protein 14; TRIP14; TRIP-14 | |
| Rabbit | |
| Protein A | |
| RUO | |
| 8638 | |
| Store at 4°C short term. For long term storage, store at -20°C, avoiding freeze/thaw cycles. | |
| Liquid |
Product Content Correction
Your input is important to us. Please complete this form to provide feedback related to the content on this product.
Product Title
Spot an opportunity for improvement?Share a Content Correction