missing translation for 'onlineSavingsMsg'
Learn More

O-GlcNAc Transferase p110 subunit Antibody, Novus Biologicals™

Rabbit Polyclonal Antibody

Brand:  Novus Biologicals NBP1-52925

Product Code. 18256984

  • £381.00 / 100µL

Please to purchase this item. Need a web account? Register with us today!

This item is not returnable. View return policy

Description

Description

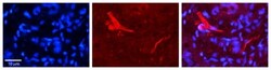
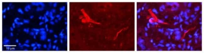
O-GlcNAc Transferase p110 subunit Polyclonal specifically detects O-GlcNAc Transferase p110 subunit in Human samples. It is validated for Western Blot, Immunohistochemistry, Immunohistochemistry-Paraffin.
TRUSTED_SUSTAINABILITY
Specifications

Specifications

O-GlcNAc Transferase p110 subunit
Polyclonal
Unconjugated
PBS, 2% Sucrose with 0.09% Sodium Azide
EC 2.4.1, EC 2.4.1.255 FLJ23071, HRNT1, MGC22921, O-GLCNAC, O-GlcNAc transferase p110 subunit, O-GlcNAc transferase subunit p110, O-linked N-acetylglucosamine (GlcNAc) transferase(UDP-N-acetylglucosamine:polypeptide-N-acetylglucosaminyl transferase), O-linked N-acetylglucosamine transferase 110 kDa subunit, UDP-N-acetylglucosamine--peptide N-acetylglucosaminyltransferase 110 kDasubunit, uridinediphospho-N-acetylglucosamine:polypeptide beta-N-acetylglucosaminyltransferase
Rabbit
Affinity purified
RUO
Primary
Expected identity based on immunogen sequence: Xenopus: 100%; Bovine: 100%; Chicken: 100%; Canine: 100%; Equine: 100%; Human: 100%; Mouse: 100%; Pig: 100%; Rabbit: 100%; Rat: 100%; Zebrafish: 92%.
Human, Mouse, Rat, Bovine, Canine, Equine, Guinea Pig, Rabbit, Zebrafish
IgG
Western Blot, Immunohistochemistry, Immunohistochemistry (Paraffin), Immunofluorescence
0.5 mg/ml
Western Blot 1.0 ug/ml, Immunohistochemistry 1:10-1:500, Immunohistochemistry-Paraffin
O15294
OGT
Synthetic peptides corresponding to OGT(O-linked N-acetylglucosamine (GlcNAc) transferase) The peptide sequence was selected from the N terminal of OGT. Peptide sequence ASSVGNVADSTEPTKRMLSFQGLAELAHREYQAGDFEAAERHCMQLWRQE.
100 μL
Amino Acids Drugs and other small molecules, Cellular Markers, Golgi Apparatus Markers, Stem Cell Markers
8473
Centrifuge the vial of lyoph antibody at 12,000 x g for 20 seconds. Add 50μL of distilled water. Vortex followed by centrifuge again to pellet the solution.Final concentration is 1mg/mL in PBS buffer.
Store at 4°C short term. Aliquot and store at -20°C long term. Avoid freeze-thaw cycles.
Product Suggestions

Product Suggestions

Videos
SDS
Documents

Documents

Certificates
Promotions

Promotions

Product Content Correction

Your input is important to us. Please complete this form to provide feedback related to the content on this product.

Product Title

By clicking Submit, you acknowledge that you may be contacted by Fisher Scientific in regards to the feedback you have provided in this form. We will not share your information for any other purposes. All contact information provided shall also be maintained in accordance with our Privacy Policy.

Thank You! Your feedback has been submitted. Fisher Scientific is always working to improve our content for you. We appreciate your feedback.

For Research Use Only