missing translation for 'onlineSavingsMsg'
Learn More
Learn More
Description
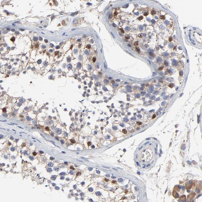
Immunogen sequence: NPAGIPHFVH RELKSEKVEQ IKLAMNQQCD VSQEALDIQR LPFYPDMVNR DTKMASNPRK CMAASLDVHE ENIPTVMSAG EMDKWKGIEP GEKCADRSPV CTTFSDTSSN INSILELFPK LLCLDGQQSP RATLCGTEAH KRL Highest antigen sequence identity to the following orthologs: Mouse - 45%, Rat - 41%.
This gene is one member of a family of nuclear RNA export factor genes. Common domain features of this family are a noncanonical RNP-type RNA-binding domain (RBD), 4 leucine-rich repeats (LRRs), a nuclear transport factor 2 (NTF2)-like domain that allows heterodimerization with NTF2-related export protein-1 (NXT1), and a ubiquitin-associated domain that mediates interactions with nucleoporins. The LRRs and NTF2-like domains are required for export activity. Alternative splicing seems to be a common mechanism in this gene family. The encoded protein of this gene has shortened LRR and ubiquitin-associated domains and its RDB is unable to bind RNA. It is located in the nucleoplasm but is not associated with either the nuclear envelope or the nucleolus.
Specifications
Specifications
| Antigen | NXF3 |
| Applications | Immunohistochemistry (Paraffin) |
| Classification | Polyclonal |
| Concentration | 0.1 mg/mL |
| Conjugate | Unconjugated |
| Formulation | PBS with 40% glycerol and 0.02% sodium azide; pH 7.2 |
| Gene | NXF3 |
| Gene Accession No. | Q9H4D5 |
| Gene Alias | Nuclear RNA export factor 3; NXF3; RGD1564923; TAPL3; TAPL-3; TAP-like protein 3 |
| Gene Symbols | NXF3 |
| Show More |
Product Title
By clicking Submit, you acknowledge that you may be contacted by Fisher Scientific in regards to the feedback you have provided in this form. We will not share your information for any other purposes. All contact information provided shall also be maintained in accordance with our Privacy Policy.
Spot an opportunity for improvement?
