missing translation for 'onlineSavingsMsg'
Learn More
Learn More
Invitrogen™ NUTF2 Polyclonal Antibody, Invitrogen™

Rabbit Polyclonal Antibody
Brand: Invitrogen™ PA5145445
This item is not returnable.
View return policy
Description
The protein encoded by this gene is a cytosolic factor that facilitates protein transport into the nucleus. It interacts with the nuclear pore complex glycoprotein p62. This encoded protein acts at a relative late stage of nuclear protein import, subsequent to the initial docking of nuclear import ligand at the nuclear envelope. It is thought to be part of a multicomponent system of cytosolic factors that assemble at the pore complex during nuclear import.
Specifications
| NUTF2 | |
| Polyclonal | |
| Unconjugated | |
| NUTF2 | |
| 2700067I02Rik; AI115459; AI413596; AW546000; Ntf2; NTF-2; Ntf3; nuclear transport factor 2; NUTF2; Placental protein 15; PP15 | |
| Rabbit | |
| Antigen affinity chromatography, Protein A | |
| RUO | |
| 100520245, 10204, 291981, 68051 | |
| Store at 4°C short term. For long term storage, store at -20°C, avoiding freeze/thaw cycles. | |
| Liquid |
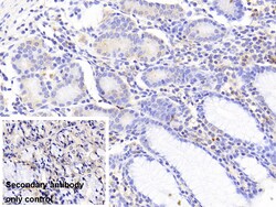
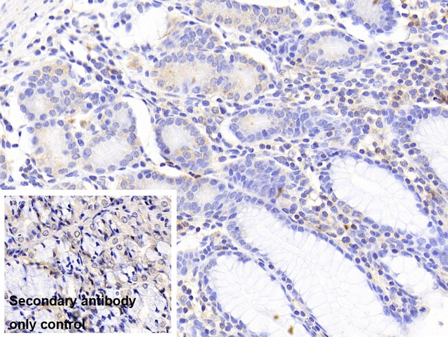
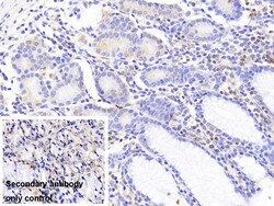
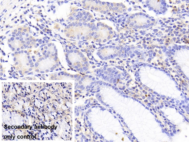
| Immunohistochemistry (Paraffin), Western Blot | |
| 0.5 mg/mL | |
| PBS with 50% glycerol and 0.05% Proclin 300; pH 7.4 | |
| P61970, P61971, P61972 | |
| NUTF2 | |
| Recombinant Human NUTF2 protein, Met1-Gly127 (Accession #P61970). | |
| 200 μL | |
| Primary | |
| Human, Mouse, Pig, Rat | |
| Antibody | |
| IgG |
Product Content Correction
Your input is important to us. Please complete this form to provide feedback related to the content on this product.
Product Title
Spot an opportunity for improvement?Share a Content Correction