missing translation for 'onlineSavingsMsg'
Learn More

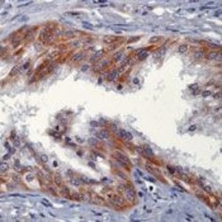
NRG1 Monoclonal Antibody (7D5), Invitrogen™

Mouse Monoclonal Antibody

Brand:  Invitrogen MA512896

Product Code. 11384733

This item is currently unavailable or has been discontinued.
View the product page for possible alternatives.
View alternative products »

This item is not returnable. View return policy

Description

Description

MA5-12896 targets Heregulin in immunohistochemistry (paraffin), immunoprecipitation, and Western blot applications and shows reactivity with Human, mouse, and Rat samples. The MA5-12896 immunogen is recombinant extracellular domain of rat NDF protein.

NRG1 Monoclonal antibody specifically detects NRG1 in Human, Mouse, Rat samples. It is validated for Immunocytochemistry, Immunohistochemistry (Paraffin), Immunoprecipitation, Western Blot.
TRUSTED_SUSTAINABILITY
Specifications

Specifications

NRG1
Monoclonal
0.2 mg/mL
PBS with 0.2% BSA and 0.09% sodium azide; pH 7.4
P43322, Q02297
NRG1
Recombinant extracellular domain of rat NDF protein
500 μL
Primary
Human, Mouse, Rat
Antibody
IgG2a
Immunocytochemistry, Immunohistochemistry (Paraffin), Immunoprecipitation, Western Blot
7D5
Unconjugated
NRG1
6030402G23Rik; Acetylcholine receptor-inducing activity; ARIA; Breast cancer cell differentiation factor p45; D230005F13Rik; GGF; GGF2; GGFII; Glial growth factor; glial growth factor 2; heregulin; heregulin, alpha (45kD, ERBB2 p185-activator); HGL; HRG; HRG1; HRGA; HRGalpha; MST131; MSTP131; NDF; Neu differentiation factor; neuregulin 1; neuregulin 1 type III beta 3; Neuregulin-1; NRG1; NRG-1; NRG1-IT2; pro-neuregulin-1, membrane-bound isoform; Pro-NRG1; sensory and motor neuron derived factor; Sensory and motor neuron-derived factor; SMDF; type I neuregulin 1; type III neuregulin 1
Mouse
Protein A
RUO
112400, 211323, 3084
4° C
Liquid
Product Suggestions

Product Suggestions

Videos
SDS
Documents

Documents

Certificates
Promotions

Promotions

Product Content Correction

Your input is important to us. Please complete this form to provide feedback related to the content on this product.

Product Title

By clicking Submit, you acknowledge that you may be contacted by Fisher Scientific in regards to the feedback you have provided in this form. We will not share your information for any other purposes. All contact information provided shall also be maintained in accordance with our Privacy Policy.

Thank You! Your feedback has been submitted. Fisher Scientific is always working to improve our content for you. We appreciate your feedback.