missing translation for 'onlineSavingsMsg'
Learn More

Invitrogen™ NQO1 Recombinant Rabbit Monoclonal Antibody (24GB355)

Rabbit Recombinant Monoclonal Antibody

£172.00 - £488.00

Specifications

Antigen NQO1
Clone 24GB355
Concentration 0.25 mg/mL
Content And Storage -20°C
Applications Flow Cytometry, Western Blot, Immunocytochemistry
View More Specs

Products 2
Product Code Brand Quantity Price Quantity & Availability  
Product Code Brand Quantity Price Quantity & Availability  
30275773
View Documents
Invitrogen™
MA557492
100 μL
£488.00
100µL
View alternative products
Save Up to 
»
Please to purchase this item. Need a web account? Register with us today!
30275805
View Documents
Invitrogen™
MA557493
20 μL
£172.00
20µL
View alternative products
missing translation for 'toSaveUpto' 
»
Please to purchase this item. Need a web account? Register with us today!
Description

Description

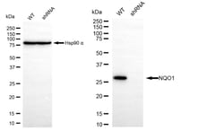
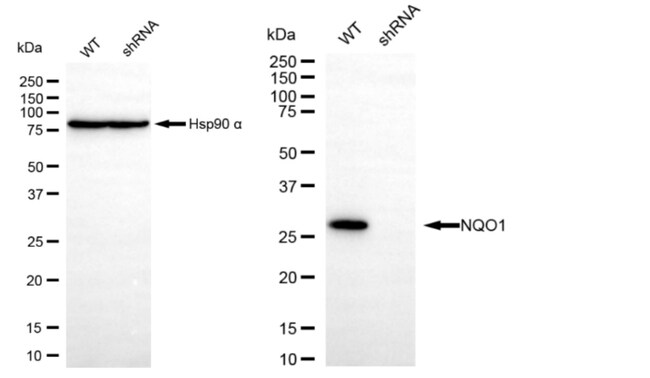
NQO1 Recombinant Monoclonal Antibody for Western Blot, ICC/IF, Flow

NQO1 is a member of the NAD(P)H dehydrogenase (quinone) family and a cytoplasmic 2-electron reductase. This FAD-binding protein forms homodimers and reduces quinones to hydroquinones. NQO1's enzymatic activity prevents the one electron reduction of quinones that results in the production of radical species. Altered expression of the protein has been seen in many tumors and is also associated with Alzheimer's disease (AD).
Specifications

Specifications

NQO1
0.25 mg/mL
Flow Cytometry, Western Blot, Immunocytochemistry
Unconjugated
Rabbit
RUO
PBS with 50% glycerol and 0.02% sodium azide; pH 7.4
P05982, P15559, Q64669
1728, 18104, 24314
A synthesized peptide derived from human NQO1 (aa 1-36).
Antibody
24GB355
-20°C
Recombinant Monoclonal
Liquid
IgG
Human, Mouse, Rat
NQO1
AV001255; Azoreductase; DHQU; DIA4; Diaphorase (NADH/NADPH); diaphorase (NADH/NADPH) (cytochrome b-5 reductase); Diaphorase 4; diaphorase 4 (NADH/NADPH); diaphorase-4; dioxin-inducible 1; DTD; DT-diaphorase; menadione reductase; NAD(P)H dehydrogenase (quinone); NAD(P)H dehydrogenase [quinone] 1; NAD(P)H dehydrogenase, quinone 1; NAD(P)H menadione oxidoreductase 1, dioxin inducible; NAD(P)H quinone dehydrogenase 1; NAD(P)H: quinone oxidoreductase 1; NAD(P)H:menadione oxidoreductase; NAD(P)H:menadione oxidoreductase 1; NAD(P)H:Quinone acceptor oxidoreductase type 1; NAD(P)H:quinone oxidoreductase 1; NAD(P)H:quinone oxireductase; NADPH-d; nicotinamide adenine dinucleotide phosphate diaphorase; Nmo1; Nmo-1; Nmor1; NMORI; NQ01; NQO1; Ox1; Ox-1; phylloquinone reductase; QR1; quinone reductase 1
NQO1
Primary
Affinity chromatography
Videos
SDS
Documents

Documents

Certificates
Product Content Correction

Your input is important to us. Please complete this form to provide feedback related to the content on this product.

Product Title

By clicking Submit, you acknowledge that you may be contacted by Fisher Scientific in regards to the feedback you have provided in this form. We will not share your information for any other purposes. All contact information provided shall also be maintained in accordance with our Privacy Policy.

Thank You! Your feedback has been submitted. Fisher Scientific is always working to improve our content for you. We appreciate your feedback.