missing translation for 'onlineSavingsMsg'
Learn More
Learn More
Description
Immunogen sequence: MGSGCRIECI FFSEFHPTLG PKITYQVPED FISRELFDTV QVYIITKPEL For short term use, store at 2-8°C up to 1 week. For long term storage, store at -20°C in small aliquots to prevent freeze-thaw cycles. Predicted homology: Cow: 100%; Dog: 100%; Guinea Pig: 100%; Human: 100%; Mouse: 100%; Rabbit: 100%; Rat: 100%; Zebrafish: 100%.
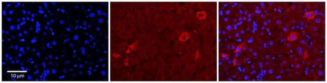
NPRL2, also known as TUSC4 (tumor suppressor candidate 4), is a 380 amino acid protein that contains a bipartite nuclear localization signal and a granulin protein-binding domain. It is highly expressed in skeletal muscle, followed by brain, liver and pancreas, with lower expression in lung, kidney, placenta and heart. NPRL2 is also expressed in most lung cancer cell lines and may be involved in tumor suppression. NPRL2 may play a role in mismatch repair, cell cycle checkpoint signaling and activation of apoptotic pathways. It may also enhance the therapeutic efficacy of chemotherapy drugs such as cis-platin by resensitizing patients resistant to cisplatin treatment. The gene encoding NPRL2 is conserved between species and is expressed as two isoforms due to alternative splicing events.
Specifications
Specifications
| Antigen | NPRL2 |
| Applications | Immunohistochemistry (Paraffin), Western Blot |
| Classification | Polyclonal |
| Concentration | 0.5 mg/mL |
| Conjugate | Unconjugated |
| Formulation | PBS with 2% sucrose and 0.09% sodium azide |
| Gene | NPRL2 |
| Gene Accession No. | Q8WTW4 |
| Gene Alias | 2810446G01Rik; G21; G21 protein; GATOR complex protein NPRL2; Gene 21 protein; homologous to yeast nitrogen permease (candidate tumor suppressor); nitrogen permase homolog; nitrogen permease regulator 2-like protein; nitrogen permease regulator-like 2; nitrogen permease regulator-like 2 (S. cerevisiae); NPR 2L; NPR L2; NPR like 2; NPR2; NPR2 like; NPR2L; NPR2-like protein; NPR2-like, GATOR1 complex subunit; NPRL 2; Nprl2; Tumor suppressor candidate 4; TUSC 4; TUSC 4 protein; TUSC4; TUSC4 protein |
| Gene Symbols | NPRL2 |
| Show More |
Product Title
By clicking Submit, you acknowledge that you may be contacted by Fisher Scientific in regards to the feedback you have provided in this form. We will not share your information for any other purposes. All contact information provided shall also be maintained in accordance with our Privacy Policy.
Spot an opportunity for improvement?
