missing translation for 'onlineSavingsMsg'
Learn More
Learn More
Invitrogen™ NOV Recombinant Rabbit Monoclonal Antibody (HL2416)

Rabbit Recombinant Monoclonal Antibody
Brand: Invitrogen™ MA556624
This item is not returnable.
View return policy
Description
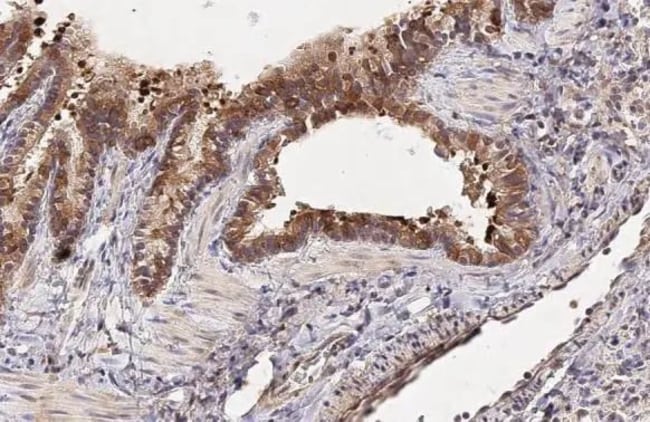
NOV Recombinant Monoclonal Antibody for Western Blot, IHC (P)
NOV is a member of the CCN family of secreted, cysteine-rich regulatory proteins. The full-length NOV protein contains four structural domains that confer distinct, and sometimes opposing, biological activities. Elevated expression of NOV is associated with certain tumors, including Wilm's tumor and most nephroblastomas. However, in other tumor types and certain cancer cell lines, increased tumorigenicity and proliferation is correlated with decreased NOV expression. Additionally, NOV induces cell adhesion and cell migration by signaling through specific cell-surface integrins, and by binding to heparin sulfate proteoglycans and to fibulin 1C. NOV has also been reported to exert proangiogenic activities.
Specifications
| NOV | |
| Recombinant Monoclonal | |
| 1 mg/mL | |
| PBS with no preservative | |
| P48745, Q9QZQ5 | |
| CCN3 | |
| Recombinant fragment of human CCN3. | |
| 100 μL | |
| Primary | |
| Human, Rat | |
| Antibody | |
| IgG |
| Immunohistochemistry (Paraffin), Western Blot | |
| HL2416 | |
| Unconjugated | |
| CCN3 | |
| C130088N23Rik; CCN family member 3; CCN3; Cellular communication network factor 3; IBP-9; IGF-binding protein 9; IGFBP9; IGFBP-9; Insulin-like growth factor-binding protein 9; Nephro blastoma-overexpressed gene protein homolog; nephroblastoma overexpressed; nephroblastoma overexpressed gene; nephroblastoma overexpressed gene protein homolog; nephroblastoma-overexpressed gene protein homolog; NOV; NovH; protein NOV homolog | |
| Rabbit | |
| Protein A | |
| RUO | |
| 4856, 81526 | |
| -20°C, Avoid Freeze/Thaw Cycles | |
| Liquid |
Product Content Correction
Your input is important to us. Please complete this form to provide feedback related to the content on this product.
Product Title
Spot an opportunity for improvement?Share a Content Correction