missing translation for 'onlineSavingsMsg'
Learn More
Learn More
Invitrogen™ NONO Polyclonal Antibody

Rabbit Polyclonal Antibody
Brand: Invitrogen™ PA584183
This item is not returnable.
View return policy
Description
Immunogen sequence: EEMRRQQEEM MRRQQEGFKG TFPDAREQEI RMGQMAMGGA MGINNRGAMP PAPVPAGTPA PPGPATMMPD GTLG Highest antigen sequence indentity to the following orthologs: Mouse - 99%, Rat - 97%.
This gene encodes an RNA-binding protein which plays various roles in the nucleus, including transcriptional regulation and RNA splicing. A rearrangement between this gene and the transcription factor E3 gene has been observed in papillary renal cell carcinoma. Alternatively spliced transcript variants have been described. Pseudogenes exist on Chromosomes 2 and 16.
Specifications
| NONO | |
| Polyclonal | |
| Unconjugated | |
| Nono | |
| 54 kDa nuclear RNA- and DNA-binding protein; 55 kDa nuclear protein; AA407051; AV149256; DNA-binding p52/p100 complex, 52 kDa subunit; HGNC:7871; LOC100346936; MRXS34; NMT-1; NMT55; nonA; Nono; NonO protein; non-POU domain containing octamer binding; non-POU domain containing, octamer-binding; non-POU domain-containing octamer (ATGCAAAT) binding protein; non-POU domain-containing octamer-binding protein; non-POU-domain-containing; non-POU-domain-containing, octamer binding protein; non-POU-domain-containing, octamer-binding protein; NRB54; P54; p54(nrb); p54nrb; PPP1R114; protein phosphatase 1, regulatory subunit 114 | |
| Rabbit | |
| Antigen affinity chromatography | |
| RUO | |
| 4841 | |
| Store at 4°C short term. For long term storage, store at -20°C, avoiding freeze/thaw cycles. | |
| Liquid |
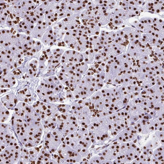
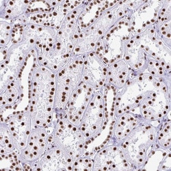
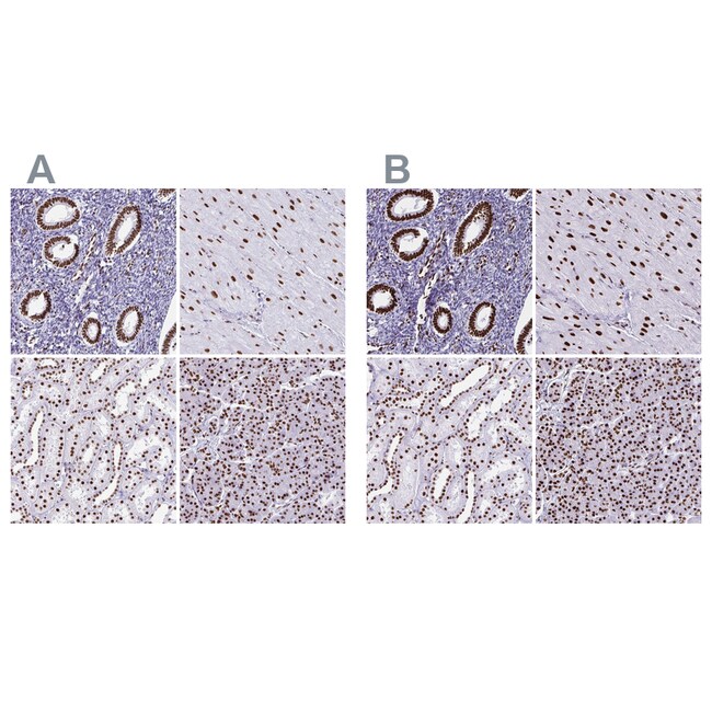
| Immunohistochemistry (Paraffin), Western Blot, Immunocytochemistry | |
| 0.3 mg/mL | |
| PBS with 40% glycerol and 0.02% sodium azide; pH 7.2 | |
| Q15233 | |
| Nono | |
| Recombinant protein corresponding to Human NONO. Recombinant protein control fragment (Product #RP-103174). | |
| 100 μL | |
| Primary | |
| Human | |
| Antibody | |
| IgG |
Correction du contenu d'un produit
Veuillez fournir vos retours sur le contenu du produit en remplissant le formulaire ci-dessous.
Nom du produit
Vous avez repéré une opportunité d'amélioration ?Partager une correction de contenu