missing translation for 'onlineSavingsMsg'
Learn More
Learn More
Invitrogen™ Nodal Polyclonal Antibody

Rabbit Polyclonal Antibody
Brand: Invitrogen™ PA5119761
This item is not returnable.
View return policy
Description
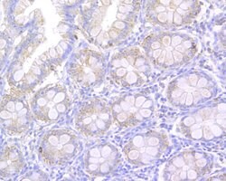
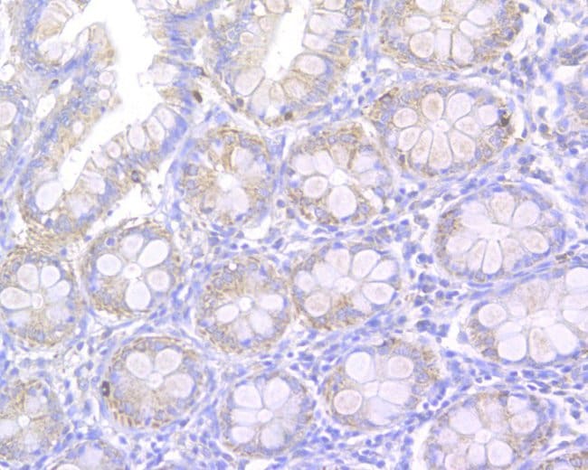
Positive Control: Rat testis tissue cell lysate, SHSY5Y cell lysate, rat testis tissue, human colon tissue. Subcellular Location: Secreted.
NODAL is an important TGF-beta family protein in cellular differentiation. While constitutively expressed in many developing tissues, NODAL is problematically associated with the differentiation and development of many cancers. The expression of NODAL is regulated by a Notch signaling pathway, which when disrupted contributes to the aggressive behavior of metastatic cancer cells, particularly in melanoma. The abundance of NODAL expression in melanoma can help determine the stage of cancer and metastatic type/progression when tested in IHC. NODAL interactions with Cripto also predispose toward tumor progression. Overexpression of NODAL is also associated with preeclamptic placenta.
Specifications
| Nodal | |
| Polyclonal | |
| Unconjugated | |
| NODAL | |
| early embryo mesoderm formation; HTX5; MGC138230; Nodal; nodal growth differentiation factor; nodal homolog; Tg.413d; transgenic lethal 413.d | |
| Rabbit | |
| Antigen Affinity Chromatography | |
| RUO | |
| 294503, 4838 | |
| Store at 4°C short term. For long term storage, store at -20°C, avoiding freeze/thaw cycles. | |
| Liquid |
| Immunohistochemistry (Paraffin), Western Blot | |
| 1 mg/mL | |
| TBS with 0.2% BSA, 50% glycerol and 0.05% sodium azide; pH 7.4 | |
| Q96S42 | |
| NODAL | |
| Recombinant protein within human Nodal aa 150-347. | |
| 100 μL | |
| Primary | |
| Human, Rat | |
| Antibody | |
| IgG |
Product Content Correction
Your input is important to us. Please complete this form to provide feedback related to the content on this product.
Product Title
Spot an opportunity for improvement?Share a Content Correction