missing translation for 'onlineSavingsMsg'
Learn More
Learn More
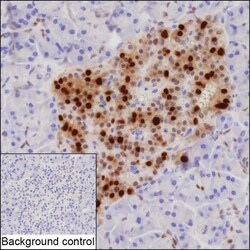
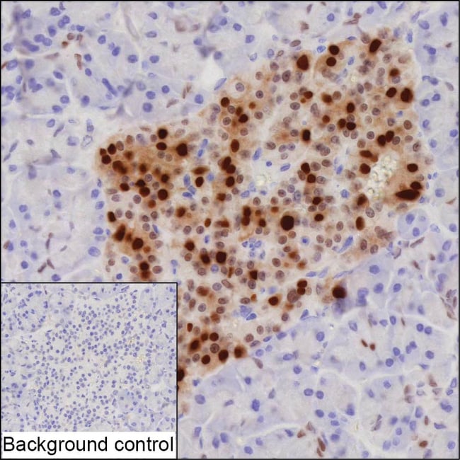
Invitrogen™ Nkx6.1 Recombinant Rabbit Monoclonal Antibody (K01_2Y67)

Description
Nkx6.1 Recombinant Monoclonal Antibody for IHC (P)
NKX6.1 is a bi-functional transcription factor that has effects in both the central nervous system and in the pancreas. It has both expression and repression effects on genes, leading to the proper formation of motoneurons, oligodendrocytes, and insulin-secreting beta cells. It is known to interact with Pax6 and Pdx-1, probably at or near the 60 amino acid homeobox DNA-binding domain. Due to its obvious relationship to beta cells and CNS, NKX6.1 is becoming a more interesting target for therapies in diabetes and certain brain diseases.
Specifications
Specifications
| Antigen | Nkx6.1 |
| Applications | Immunohistochemistry (Paraffin) |
| Classification | Recombinant Monoclonal |
| Clone | K01_2Y67 |
| Concentration | 1 mg/mL |
| Conjugate | Unconjugated |
| Formulation | PBS with 50% glycerol, 0.5% BSA and 0.02% sodium azide; pH 7.3 |
| Gene | NKX6-1 |
| Gene Accession No. | P78426 |
| Gene Alias | Drosophila NK transcription factor related, gene family 6, locus 1; homeobox protein NK-6 homolog A; Homeobox protein Nkx-6.1; homeodomain transcription factor Nkx6.1; NK homeo box, family 6, member A; NK homeobox, family 6, A; NK6 homeobox 1; NK6 transcription factor homolog A; NK6 transcription factor related locus 1; NK6 transcription factor related, locus 1; Nkx6.1; Nkx61; NKX6-1; Nkx6a |
| Show More |
Product Title
By clicking Submit, you acknowledge that you may be contacted by Fisher Scientific in regards to the feedback you have provided in this form. We will not share your information for any other purposes. All contact information provided shall also be maintained in accordance with our Privacy Policy.
Spot an opportunity for improvement?