missing translation for 'onlineSavingsMsg'
Learn More

NKX2.2 Rabbit anti-Human, Clone: NX2/2198R, Novus Biologicals™

Rabbit Monoclonal Antibody

Brand:  Novus Biologicals NBP3-07410-100ug

 View more versions of this product

Product Code. 18631317

  • £412.00 / 100µg

Please to purchase this item. Need a web account? Register with us today!

This item is not returnable. View return policy

Description

Description

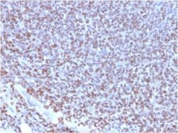
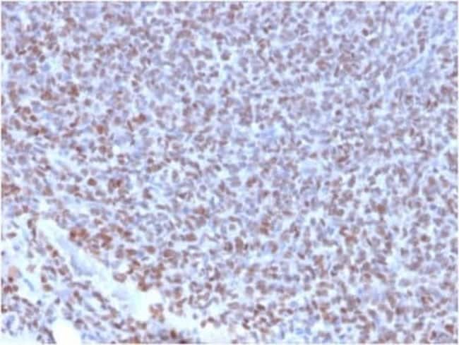
NKX2.2 Monoclonal specifically detects NKX2.2 in Human samples. It is validated for Immunohistochemistry-Paraffin.
TRUSTED_SUSTAINABILITY
Specifications

Specifications

NKX2.2
Monoclonal
0.2 mg/mL
Immunohistochemistry-Paraffin 1 to 2 μg/mL
Homeobox protein NK-2 homolog B, NK-2 (Drosophila) homolog B, NK2 homeobox 2, NK2 transcription factor related, locus 2, NK2 transcription factor related, locus 2 (Drosophila), NK2 transcription factor-like protein B, Nkx2.2, NKX2.2homeobox protein Nkx-2.2, NKX2BNK-2 homolog B
Recombinant human NKX2.2 protein fragment (around aa1-119) (exact sequence is proprietary)
100 μg
Primary
Human
Purified
Immunohistochemistry (Paraffin)
NX2/2198R
Unconjugated
10 mM PBS with 0.05% BSA
Rabbit
Protein A or G purified
RUO
4821
Store at 4°C.
IgG
Product Suggestions

Product Suggestions

Videos
SDS
Documents

Documents

Certificates
Promotions

Promotions

Product Content Correction

Your input is important to us. Please complete this form to provide feedback related to the content on this product.

Product Title

By clicking Submit, you acknowledge that you may be contacted by Fisher Scientific in regards to the feedback you have provided in this form. We will not share your information for any other purposes. All contact information provided shall also be maintained in accordance with our Privacy Policy.

Thank You! Your feedback has been submitted. Fisher Scientific is always working to improve our content for you. We appreciate your feedback.