missing translation for 'onlineSavingsMsg'
Learn More
Learn More
Invitrogen™ NKG2D Polyclonal Antibody

Rabbit Polyclonal Antibody
Brand: Invitrogen™ PA597904
This item is not returnable.
View return policy
Description
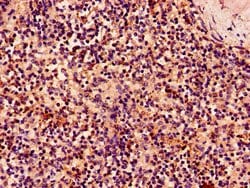
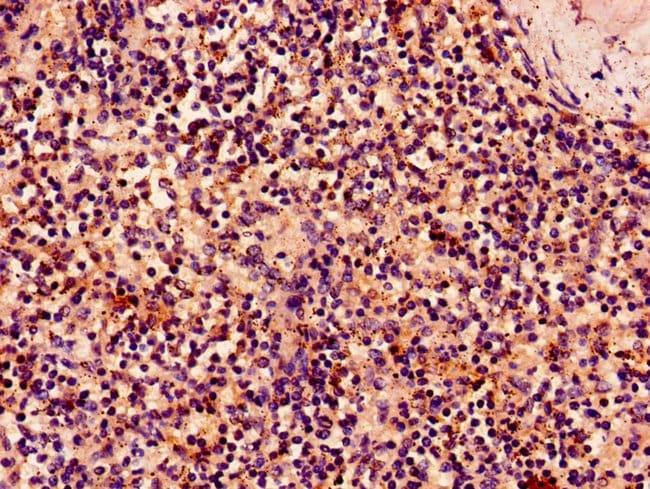
NKG2D Polyclonal Antibody for Western Blot, IHC (P), ELISA
Natural killer (NK) cells are lymphocytes that can mediate lysis of certain tumor cells and virus-infected cells without previous activation. NK cells can regulate specific humoral and cell-mediated immunity, and preferentially express several calcium-dependent (C-type) lectins, which have been implicated in the regulation of NK cell function. The NK gene encodes a member of the NKG2 family, and the encoded transmembrane protein is characterized by a type II membrane orientation (extracellular C terminus) and the presence of a C-type lectin domain. The NKG2 gene family is located within the NK complex, a region that contains several C-type lectin genes preferentially expressed in NK cells.
Specifications
| NKG2D | |
| Polyclonal | |
| Unconjugated | |
| Klrk1 | |
| CD314; D12S2489E; D6H12S2489E; killer cell lectin like receptor K1; Killer cell lectin-like receptor subfamily K member 1; killer cell lectin-like receptor subfamily K, member 1; KLR; Klrk1; natural killer cell group 2D; natural killer cell receptor; NK cell receptor D; NK lectin-like receptor; Nkg2d; NKG2-D; NKG2-D type II integral membrane protein; NKG2-D-activating NK receptor; NKLLR; Nkrp2; NKR-P2; NKR-P2, ortholog of human NKG2D | |
| Rabbit | |
| Protein G | |
| RUO | |
| 22914 | |
| -20°C or -80°C if preferred | |
| Liquid |
| ELISA, Immunohistochemistry (Paraffin), Western Blot | |
| 0.6 mg/mL | |
| PBS with 40% glycerol and 0.05% sodium azide; pH 7.4 | |
| P26718 | |
| Klrk1 | |
| Recombinant Human NKG2-D type II integral membrane protein (73-216AA). | |
| 100 μL | |
| Primary | |
| Human | |
| Antibody | |
| IgG |
Product Content Correction
Your input is important to us. Please complete this form to provide feedback related to the content on this product.
Product Title
Spot an opportunity for improvement?Share a Content Correction