missing translation for 'onlineSavingsMsg'
Learn More

NK3R/TACR3/Neurokinin B Receptor Antibody - BSA Free, Novus Biologicals™

Rabbit Polyclonal Antibody

Brand:  Novus Biologicals NBP2-82076

Product Code. 18309180

  • £423.00 / 0.10mg

Please to purchase this item. Need a web account? Register with us today!

This item is not returnable. View return policy

Description

Description

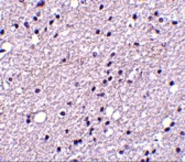
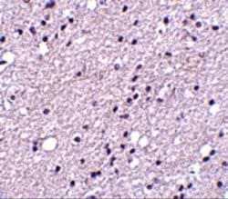
NK3R/TACR3/Neurokinin B Receptor Polyclonal specifically detects NK3R/TACR3/Neurokinin B Receptor in Human, Mouse samples. It is validated for Western Blot, ELISA, Immunohistochemistry, Immunocytochemistry/Immunofluorescence, Immunohistochemistry-Paraffin.
TRUSTED_SUSTAINABILITY
Specifications

Specifications

NK3R/TACR3/Neurokinin B Receptor
Polyclonal
Unconjugated
PBS
TACR3
NK3R antibody was raised against a 18 amino acid synthetic peptide from near the center of human NK3R. The immunogen is located within amino acids 370 - 420 of NK3R. Amino Acid Squence: SYDELELKTTRFHPNRQS
Affinity Purified
RUO
Primary
NK3R/TACR3/Neurokinin B Receptor antibody does not recognize NK1R or NK2R.
Store at 4°C short term. Aliquot and store at -20°C long term. Avoid freeze-thaw cycles.
Western Blot, ELISA, Immunohistochemistry, Immunocytochemistry, Immunofluorescence, Immunohistochemistry (Paraffin)
1 mg/mL
Western Blot 0.5-2 μg/mL, ELISA, Immunohistochemistry 5 μg/mL, Immunocytochemistry/Immunofluorescence 20 μg/mL, Immunohistochemistry-Paraffin
Neurokinin B receptor, neurokinin beta receptor, neuromedin-K receptor, NK-3 receptor, NK-3R, NK3RMGC148061, NKR, TAC3R, TAC3RL, tachykinin receptor 3MGC148060
Rabbit
51 kDa
0.1 mg
GPCR, Neuronal Cell Markers, Neuroscience, Neurotransmission
6870
Human, Mouse
IgG
Product Suggestions

Product Suggestions

Videos
SDS
Documents

Documents

Product Certifications
Promotions

Promotions

Product Content Correction

Your input is important to us. Please complete this form to provide feedback related to the content on this product.

Product Title

By clicking Submit, you acknowledge that you may be contacted by Fisher Scientific in regards to the feedback you have provided in this form. We will not share your information for any other purposes. All contact information provided shall also be maintained in accordance with our Privacy Policy.

Thank You! Your feedback has been submitted. Fisher Scientific is always working to improve our content for you. We appreciate your feedback.