missing translation for 'onlineSavingsMsg'
Learn More
Learn More
Invitrogen™ NFkB p50/p105 Monoclonal Antibody (A2-7)

Mouse Monoclonal Antibody
Brand: Invitrogen™ MA532911
This item is not returnable.
View return policy
Description
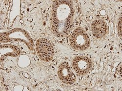
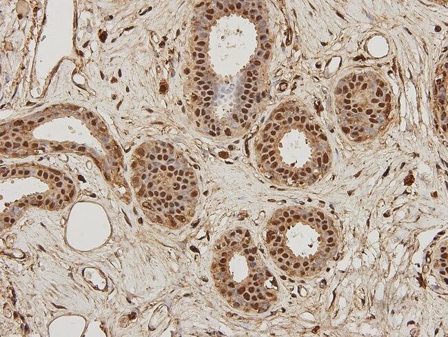
NFkB p50/p105 Monoclonal Antibody for Western Blot, ICC/IF, IHC (P)
NF-kB is a nuclear transcription factor activated by various extra and intracellular stimuli such as cytokines, UV radiation, stress, in injury, and by bacterial and viral products. It is involved in regulation of various cellular events including cell growth, differentiation, proliferation, apoptosis and inflammation. NFKB1 (p50), a 50KDa functional sub-unit of NF-kB, is a member of Rel protein family. It is synthesized as a p105 precursor protein and consists of an N-terminal conserved RHD-region containing nuclear localization signal, DNA-binding and dimerization domains. NFKB1 (p50) forms homodimers or heterodimerizes with p65, forming the functional NF-kB factor. NFKB1 (p50) directs the nuclear translocation of NF-kB and is instrumental in its DNA-bidning. Pathological role of NF-kB has been suggested in AIDS, hematogenic cancer cell metastasis and rheumatoid arthritis.
Specifications
| NFkB p50/p105 | |
| Monoclonal | |
| 2 mg/mL | |
| PBS with 0.2% BSA, 40% Glycerol and 0.05% sodium azide; pH 7.4 | |
| P19838, P25799 | |
| NFKB1 | |
| Synthetic peptide within Human NF-kB p105/p50 aa 317-366. | |
| 100 μL | |
| Primary | |
| Human, Mouse | |
| Antibody | |
| IgM |
| Immunohistochemistry (Paraffin), Western Blot, Immunocytochemistry, Western Blot | |
| A2-7 | |
| Unconjugated | |
| NFKB1 | |
| CVID12; DKFZp686C01211; DNA-binding factor KBF1; EBP-1; KBF1; MGC54151; NF kappaB1; NF KB; NFkappaB; NF-kappaB; NF-kappa-B; NF-kappaB p50; NF-kappaB1; NF-kappa-B1 p84/NF-kappa-B1 p98; NF-kappabeta; NF-kB; NF-kB p50/p105; NFKB1; NF-KB1; NFKB-p105; NFKB-p50; nuclear factor; nuclear factor kappa b; nuclear factor kappa B subunit 1; nuclear factor kappa-B DNA binding subunit; nuclear factor kappaB p50; nuclear factor NF-kappa-B p105 subunit; Nuclear factor NF-kappa-B p50 subunit; nuclear factor of kappa light chain gene enhancer in B-cells 1, p105; nuclear factor of kappa light polypeptide gene enhancer in B cells 1, p105; nuclear factor of kappa light polypeptide gene enhancer in B-cells 1; nuclear factor of kappa light polypeptide gene enhancer in B-cells 1, p105; nuclear factor-kappaB p50; p105; p50; p50 subunit of NF kappaB; p50 subunit of NF-kappaB; p50/p105 | |
| Mouse | |
| Protein L | |
| RUO | |
| 18033, 4790 | |
| Store at 4°C short term. For long term storage, store at -20°C, avoiding freeze/thaw cycles. | |
| Liquid |
Product Content Correction
Your input is important to us. Please complete this form to provide feedback related to the content on this product.
Product Title
Spot an opportunity for improvement?Share a Content Correction