Learn More
Invitrogen™ NFIB Polyclonal Antibody

Rabbit Polyclonal Antibody
Brand: Invitrogen™ PA579736
Description
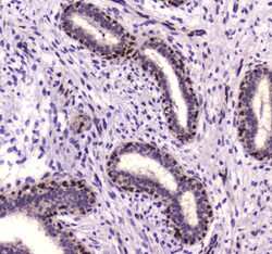
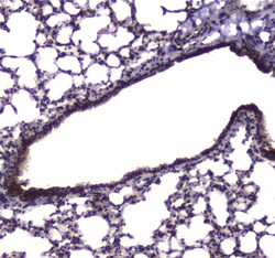
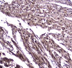
Reconstitute with 0.2 mL of distilled water to yield a concentration of 500 μg/mL. Positive Control - WB: human Hela whole cell, rat PC-12 whole cell, mouse lung tissue, mouse ovary tissue, mouse HEPA1-6 whole cell. IHC: human mammary cancer tissue, mouse lung tissue, rat cardiac muscle tissue.
NF-1, also designated CTF, consists of a family of CCAAT box binding proteins that stimulate DNA replication and activate transcription. Analysis of human NF-1 messenger RNA has revealed two forms of the NF-1 protein arising from an alternate splicing of a single NF-1 gene. NF-1 binds its consensus DNA element as a homodimer via an amino-terminal DNA binding domain, and activates transcription through a putatively novel, proline-rich, carboxy terminal transactivation domain. The NF-1 protein has been shown to recognize and bind the adenovirus type 2 promoter and activate transcription of herpes simplex virus thymidine kinase genes. The NF-1 consensus element has been found in the upstream promoter region of myriad eukaryotic genes, including that of Ha-Ras, alpha-globin, HSP 70, GRP 78, Histone H1, myelin basic protein and in the Xenopus laevis vitellogenin gene promoter.
Specifications
| NFIB | |
| Polyclonal | |
| Unconjugated | |
| NFIB | |
| 6720429L07Rik; CCAAT-box-binding transcription factor; CTF; E030026I10Rik; HMGIC/NFIB; NF1-B; NF-I/B; Nfib; NFI-B; NFIB2; NFIB3; NFI-RED; nuclear factor 1 B-type; nuclear factor 1/B; nuclear factor I B; nuclear factor I/B; olfactory epithelium nuclear factor I-B; TGGCA-binding protein | |
| Rabbit | |
| Antigen affinity chromatography | |
| RUO | |
| 18028, 29227, 4781 | |
| -20°C | |
| Lyophilized |
| Immunohistochemistry (Paraffin), Western Blot | |
| 500 μg/mL | |
| PBS with 4mg trehalose and 0.05mg sodium azide | |
| O00712, P97863 | |
| NFIB | |
| A synthetic peptide corresponding to a sequence of human NFIB/NF1B2 (ELVRVSRTPITQGTGVNFPIGEIPSQPYYHDMNSGVNLQR). | |
| 100 μg | |
| Primary | |
| Human, Mouse, Rat | |
| Antibody | |
| IgG |
Your input is important to us. Please complete this form to provide feedback related to the content on this product.