missing translation for 'onlineSavingsMsg'
Learn More
Learn More
Invitrogen™ NEIL3 Polyclonal Antibody

Rabbit Polyclonal Antibody
Brand: Invitrogen™ PA550028
This item is not returnable.
View return policy
Description
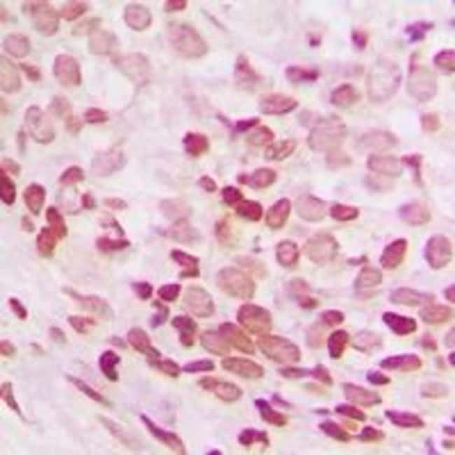
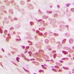
The antibody detects endogenous levels of total NEIL3 protein.
DNA glycosylase which prefers single-stranded DNA (ssDNA), or partially ssDNA structures such as bubble and fork structures, to double-stranded DNA (dsDNA). In vitro, displays strong glycosylase activity towards the hydantoin lesions spiroiminodihydantoin (Sp) and guanidinohydantoin (Gh) in both ssDNA and dsDNA; also recognizes FapyA, FapyG, 5-OHU, 5-OHC, 5-OHMH, Tg and 8-oxoA lesions in ssDNA. No activity on 8-oxoG detected. Also shows weak DNA-(apurinic or apyrimidinic site) lyase activity. In vivo, appears to be the primary enzyme involved in removing Sp and Gh from ssDNA in neonatal tissues. Seems to be an important facilitator of cell proliferation in certain populations, for example neural stem/progenitor cells and tumor cells, suggesting a role in replication-associated DNA repair.
Specifications
| NEIL3 | |
| Polyclonal | |
| Unconjugated | |
| Neil3 | |
| AI449477; BC034753; C85903; DNA glycosylase FPG2; DNA glycosylase hFPG2; DNA glycosylase/AP lyase Neil3; Endonuclease 8-like 3; endonuclease VIII-like 3; FGP2; FLJ10858; FPG2; hFPG2; hNEI3; nei endonuclease VIII-like 3; nei endonuclease VIII-like 3 (E. coli); nei like 3; nei like 3 (E. coli); nei like DNA glycosylase 3; NEI3; Neil3; nei-like DNA glycosylase 3; nei-like protein 3; RGD1310562; ZGRF3; zinc finger, GRF-type containing 3 | |
| Rabbit | |
| Antigen affinity chromatography | |
| RUO | |
| 234258, 290729, 55247 | |
| -20°C | |
| Liquid |
| Immunohistochemistry (Paraffin), Western Blot | |
| 1 mg/mL | |
| PBS with 30% glycerol, 0.87% NaCl and 0.01% sodium azide; pH 7.4 | |
| Q8K203, Q8TAT5 | |
| Neil3 | |
| Synthesized peptide derived from internal of human NEIL3. | |
| 100 μL | |
| Primary | |
| Human, Mouse, Rat | |
| Antibody | |
| IgG |
Product Content Correction
Your input is important to us. Please complete this form to provide feedback related to the content on this product.
Product Title
Spot an opportunity for improvement?Share a Content Correction