missing translation for 'onlineSavingsMsg'
Learn More

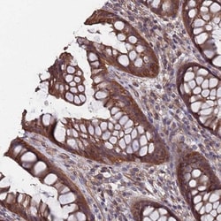
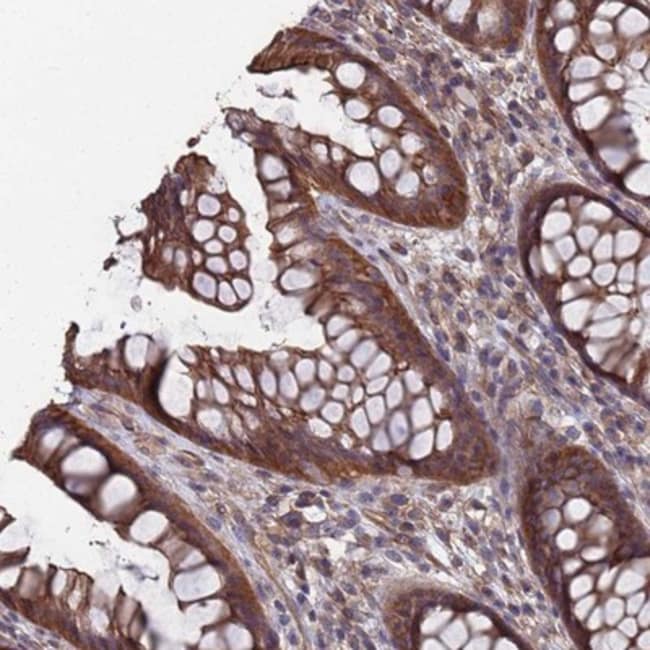
NDUFAF6 Antibody, Novus Biologicals™

Product Code. 18430092 Shop All Bio Techne Products
Change view
Click to view available options
Quantity:
0.1 mL
25ul
Unit Size:
0.1mL
25µL
2 product options available for selection
Product selection table with 2 available options. Use arrow keys to navigate and Enter or Space to select.
Product Code. Quantity unitSize
18430092 25ul 25µL
18189451 0.1 mL 0.1mL
Use arrow keys to navigate between rows. Press Enter or Space to select a product option. 2 options available.
2 options
This item is not returnable. View return policy
Product Code. 18430092 Supplier Novus Biologicals Supplier No. NBP21458525ul

Please to purchase this item. Need a web account? Register with us today!

This item is currently unavailable or has been discontinued.
View the product page for possible alternatives.
View alternative products

This item is not returnable. View return policy

Rabbit Polyclonal Antibody

NDUFAF6 Polyclonal specifically detects NDUFAF6 in Human samples. It is validated for Immunohistochemistry, Immunohistochemistry-Paraffin.
TRUSTED_SUSTAINABILITY

Spécification

Antigen NDUFAF6
Applications Western Blot, Immunohistochemistry, Immunohistochemistry (Paraffin)
Classification Polyclonal
Conjugate Unconjugated
Dilution Western Blot 0.04 - 0.4 ug/ml, Immunohistochemistry 1:200 - 1:500, Immunohistochemistry-Paraffin 1:500-1:1000
Formulation PBS (pH 7.2) and 40% Glycerol with 0.02% Sodium Azide
Gene Alias C8orf38, NDUFAF6 NADH dehydrogenase (ubiquinone) complex I, assembly factor 6
Gene Symbols NDUFAF6
Host Species Rabbit
Immunogen This antibody was developed against a recombinant protein corresponding to the amino acids: LAQVKDSVSEKTIGLMRMQFWKKTVEDIYCDNPPHQPVAIELWKAVKRHNLTKRWLMKIVDEREKNLDDKAYRNIKELENYA
Purification Method Affinity Purified
Quantity 25ul
Regulatory Status RUO
Primary or Secondary Primary
Gene ID (Entrez) 137682
Test Specificity Specificity of antibody verified on a Protein Array containing target protein plus 383 other non-specific proteins.
Target Species Human
Content And Storage Store at 4C short term. Aliquot and store at -20C long term. Avoid freeze-thaw cycles.
Isotype IgG
Afficher plus Afficher moins

For Research Use Only

Nom du produit
Sélectionnez un problème

En cliquant sur Soumettre, vous reconnaissez que vous pouvez être contacté par Fisher Scientific au sujet des informations que vous avez fournies dans ce formulaire. Nous ne partagerons pas vos informations à d'autres fins. Toutes les informations de contact fournies seront également conservées conformément à notre politique de confidentialité. Politique de confidentialité.