missing translation for 'onlineSavingsMsg'
Learn More
Learn More
Invitrogen™ NDUFA8 Polyclonal Antibody

Rabbit Polyclonal Antibody
Brand: Invitrogen™ PA559642
This item is not returnable.
View return policy
Description
Immunogen sequence: PGIVELPTLE ELKVDEVKIS SAVLKAAAHH YGAQCDKPNK EFMLCRWEEK DPRRCLEEGK LVNKCALDFF RQIKRHCA Highest antigen sequence identity to the following orthologs: Mouse - 91%, Rat - 91%.
NDUFA8 is an accessory subunit of the mitochondrial membrane respiratory chain NADH dehydrogenase (Complex I), that is believed to be not involved in catalysis. Mammalian complex I is composed of 45 different subunits and transfers electrons from NADH to the respiratory chain. The immediate electron acceptor for the enzyme is believed to be ubiquinone.
Specifications
| NDUFA8 | |
| Polyclonal | |
| Unconjugated | |
| NDUFA8 | |
| 0610033L03Rik; Aa2-258; AW261656; CI-19KD; CI-PGIV; Complex I-19kD; complex I-PGIV; NADH dehydrogenase (ubiquinone) 1 alpha subcomplex, 8; NADH dehydrogenase (ubiquinone) 1 alpha subcomplex, 8, 19kDa; NADH dehydrogenase [ubiquinone] 1 alpha subcomplex subunit 8; NADH:ubiquinone oxidoreductase PGIV subunit; NADH:ubiquinone oxidoreductase subunit A8; NADH-ubiquinone oxidoreductase 19 kDa subunit; NDUFA8; PGIV | |
| Rabbit | |
| Antigen Affinity Chromatography | |
| RUO | |
| 4702 | |
| Store at 4°C short term. For long term storage, store at -20°C, avoiding freeze/thaw cycles. | |
| Liquid |
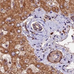
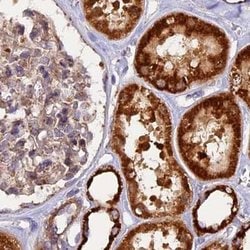
| Immunohistochemistry (Paraffin), Immunocytochemistry | |
| 0.1 mg/mL | |
| PBS with 40% glycerol and 0.02% sodium azide; pH 7.2 | |
| P51970 | |
| NDUFA8 | |
| Recombinant protein corresponding to Human NDUFA8. Recombinant protein control fragment (Product #RP-98408). | |
| 100 μL | |
| Primary | |
| Human | |
| Antibody | |
| IgG |
Product Content Correction
Your input is important to us. Please complete this form to provide feedback related to the content on this product.
Product Title
Spot an opportunity for improvement?Share a Content Correction