missing translation for 'onlineSavingsMsg'
Learn More

Invitrogen™ NCK1 Recombinant Rabbit Monoclonal Antibody (K01_1U44)

Product Code. 30827724
Change view
Click to view available options
Quantity:
50 μL
100 μL
2 product options available for selection
Product selection table with 2 available options. Use arrow keys to navigate and Enter or Space to select.
Product Code. Quantity
30827724 100 μL
30829709 50 μL
Use arrow keys to navigate between rows. Press Enter or Space to select a product option. 2 options available.
2 options
This item is not returnable. View return policy
Product Code. 30827724 Supplier Invitrogen™ Supplier No. MA563395

Please to purchase this item. Need a web account? Register with us today!

This item is not returnable. View return policy

Rabbit Recombinant Monoclonal Antibody

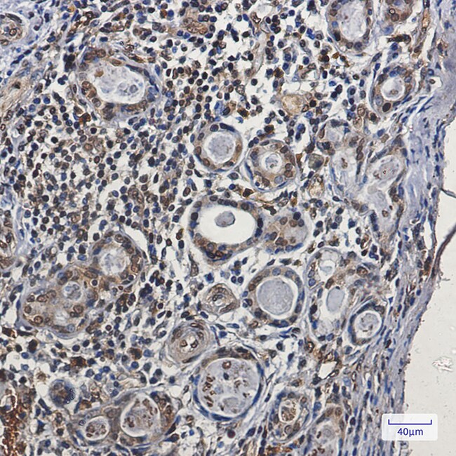
NCK1 Recombinant Monoclonal Antibody for Western Blot, ICC/IF, IHC (P)

NCK1 is one of the signaling and transforming proteins containing Src homology 2 and 3 (SH2 and SH3) domains. It is located in the cytoplasm and is an adaptor protein involved in transducing signals from receptor tyrosine kinases to downstream signal recipients such as RAS. Alternatively spliced transcript variants encoding different isoforms have been found.
TRUSTED_SUSTAINABILITY

Specifications

Antigen NCK1
Applications Immunohistochemistry (Paraffin), Western Blot, Immunocytochemistry
Classification Recombinant Monoclonal
Clone K01_1U44
Concentration 1 mg/mL
Conjugate Unconjugated
Formulation 50mM tris glycine with 0.05% BSA, 40% glycerol, 150mM NaCl and 0.01% sodium azide; pH 7.4
Gene Nck1
Gene Accession No. P16333, Q99M51
Gene Alias 6330586M15Rik; Cytoplasmic protein NCK1; D230010O13Rik; melanoma NCK protein; MGC12668; Nck; NCK adaptor protein 1; NCK tyrosine kinase; NCK1; nck-1; NCKalpha; non-catalytic region of tyrosine kinase; non-catalytic region of tyrosine kinase adaptor protein 1; SH2/SH3 adaptor protein NCK-alpha
Gene Symbols Nck1
Host Species Rabbit
Immunogen A synthetic peptide of human Nck.
Purification Method Protein A/G
Quantity 100 μL
Regulatory Status RUO
Primary or Secondary Primary
Gene ID (Entrez) 17973, 300955, 4690
Target Species Human, Mouse, Rat
Content And Storage Maintain refrigerated at 2-8°C for up to 1 month. For long term storage store at -20°C
Product Type Antibody
Form Liquid
Isotype IgG
Show More Show Less
Product Title
Select an issue

By clicking Submit, you acknowledge that you may be contacted by Fisher Scientific in regards to the feedback you have provided in this form. We will not share your information for any other purposes. All contact information provided shall also be maintained in accordance with our Privacy Policy.