missing translation for 'onlineSavingsMsg'
Learn More
Learn More
Invitrogen™ NARS Polyclonal Antibody

Rabbit Polyclonal Antibody
Brand: Invitrogen™ PA5119962
This item is not returnable.
View return policy
Description
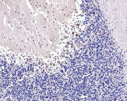
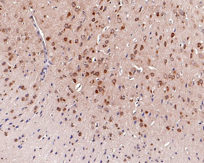
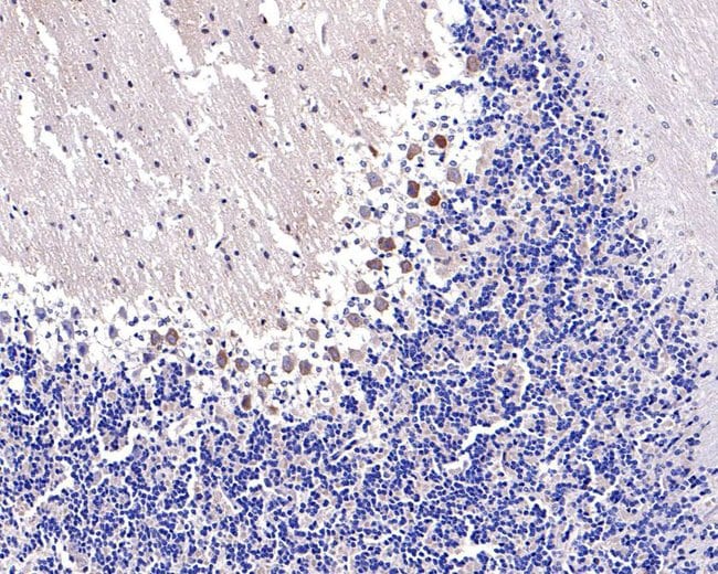
Positive Control: HepG2 cell lysate, K562 cell lysate, 293 cell lysate, NIH/3T3 cell lysate, mouse liver tissue lysate, mouse brain tissue, mouse cerebellum tissue, rat cerebellum tissue. Subcellular Location: Cytoplasm.
Aminoacyl-tRNA synthetases are a class of enzymes that charge tRNAs with their cognate amino acids. Asparaginyl-tRNA synthetase is localized to the cytoplasm and belongs to the class II family of tRNA synthetases. The N-terminal domain represents the signature sequence for the eukaryotic asparaginyl-tRNA synthetases.
Specifications
| NARS | |
| Polyclonal | |
| Unconjugated | |
| NARS1 | |
| 3010001M15Rik; AA960128; AsnRS; asparagine tRNA ligase 1, cytoplasmic; asparagine--tRNA ligase, cytoplasmic; Asparaginyl-tRNA synthetase; asparaginyl-tRNA synthetase, cytoplasmic; C78150; LRRGT00113; Nars; NARS1 | |
| Rabbit | |
| Antigen affinity chromatography | |
| RUO | |
| 291556, 4677, 70223 | |
| Store at 4°C short term. For long term storage, store at -20°C, avoiding freeze/thaw cycles. | |
| Liquid |
| Immunohistochemistry (Paraffin), Western Blot | |
| 1 mg/mL | |
| TBS with 0.2% BSA, 50% glycerol and 0.05% sodium azide; pH 7.4 | |
| O43776, Q8BP47 | |
| NARS1 | |
| Recombinant protein within human NARS aa 281-480/548. | |
| 100 μL | |
| Primary | |
| Human, Mouse, Rat | |
| Antibody | |
| IgG |
Product Content Correction
Your input is important to us. Please complete this form to provide feedback related to the content on this product.
Product Title
Spot an opportunity for improvement?Share a Content Correction