missing translation for 'onlineSavingsMsg'
Learn More
Learn More
Invitrogen™ NANOS2 Polyclonal Antibody

Description
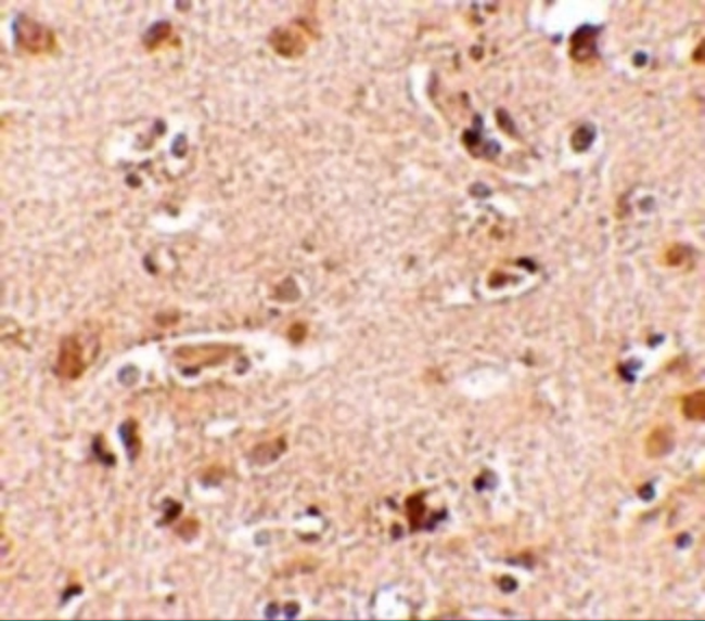
A suggested positive control is rat brain tissue lysate. PA5-20553 can be used with blocking peptide PEP-0673.
NANOS2 is a gene that encodes for a protein found in the testes and ovaries. It is a member of the NANOS family of proteins and plays a crucial role in the regulation of germ cell development. NANOS2 is involved in the maintenance of germ cell pluripotency and the suppression of somatic cell differentiation. It is also involved in the regulation of meiosis and the formation of gametes. Mutations in the NANOS2 gene have been associated with various reproductive disorders, including infertility and testicular germ cell tumors. NANOS2 is a target of research in the fields of reproductive biology and genetics.
Specifications
Specifications
| Antigen | NANOS2 |
| Applications | Immunohistochemistry, Western Blot, Immunocytochemistry |
| Classification | Polyclonal |
| Concentration | 1 mg/mL |
| Conjugate | Unconjugated |
| Formulation | PBS with 0.02% sodium azide |
| Gene | NANOS2 |
| Gene Accession No. | P60321, P60322 |
| Gene Alias | nanos C2HC-type zinc finger 2; nanos homolog 2; nanos homolog 2 (Drosophila); NANOS2; nos2; NOS-2; RGD1562436; ZC2HC12B |
| Gene Symbols | NANOS2 |
| Show More |
Product Title
By clicking Submit, you acknowledge that you may be contacted by Fisher Scientific in regards to the feedback you have provided in this form. We will not share your information for any other purposes. All contact information provided shall also be maintained in accordance with our Privacy Policy.
Spot an opportunity for improvement?