missing translation for 'onlineSavingsMsg'
Learn More
Learn More
Invitrogen™ NAB2 Monoclonal Antibody (OTI1E12)

Mouse Monoclonal Antibody
Brand: Invitrogen™ MA526644
This item is not returnable.
View return policy
Description
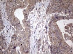
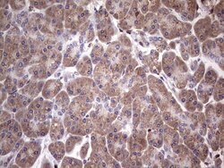
NAB2 Monoclonal Antibody for Western Blot, IHC (P)
Transcriptional control is in part regulated by interactions between DNA-bound transcription factors, such as Egr-1/NGFI-A, and coregulatory proteins, such as NAB (for NGFI-A-binding proteins). The evolutionarily conserved NAB proteins, NAB1 and NAB2, are corepressors of EGF-1/NGFI-A. Both NAB1 and NAB2 contain an amino terminal NAB conserved domain 1 (NCB1), which is required for binding NGFI-A, and a carboxy terminal NCD2 domain, which is responsible for the repressor function of NAB proteins. NAB2 is principally localized in the nucleus and may play a role in the downregulation of NGFI-A activity as well as in controlling fundamental processes such as cell division, differentiation and apoptosis. NAB2 has a predicted molecular mass of 56 kDa and localizes to chromosome 12q13.3-14.1, a region that is rearranged in several solid tumors, lipomas and liposarcomas.
Specifications
| NAB2 | |
| Monoclonal | |
| 1 mg/mL | |
| PBS with 1% BSA, 50% glycerol and 0.02% sodium azide; pH 7.3 | |
| Q15742 | |
| NAB2 | |
| Human recombinant protein fragment corresponding to amino acids 178-442 of NAB2 produced in E.coli. | |
| 100 μL | |
| Primary | |
| Human | |
| Antibody | |
| IgG2b |
| Immunohistochemistry (Paraffin), Western Blot | |
| OTI1E12 | |
| Unconjugated | |
| NAB2 | |
| AI451907; EGR1 binding protein 2; EGR-1-binding protein 2; MADER; Melanoma-associated delayed early response protein; NAB2; NGFI-A binding protein 2; NGFI-A binding protein 2 (EGR1 binding protein 2); NGFI-A binding protein 2 (EGR-1 binding protein 2); NGFI-A-binding protein 2; Protein MADER | |
| Mouse | |
| Affinity chromatography | |
| RUO | |
| 4665 | |
| -20°C, Avoid Freeze/Thaw Cycles | |
| Liquid |
Product Content Correction
Your input is important to us. Please complete this form to provide feedback related to the content on this product.
Product Title
Spot an opportunity for improvement?Share a Content Correction