missing translation for 'onlineSavingsMsg'
Learn More

Myogenin Mouse anti-Human, Clone: rMYOG/6297, Novus Biologicals™

Product Code. 18345914 Shop All Bio Techne Products
Change view
Click to view available options
Quantity:
100 μg
20 μg
Unit Size:
100µg
20µg
2 product options available for selection
Product selection table with 2 available options. Use arrow keys to navigate and Enter or Space to select.
Product Code. Quantity unitSize
18345914 100 μg 100µg
18316502 20 μg 20µg
Use arrow keys to navigate between rows. Press Enter or Space to select a product option. 2 options available.
2 options
This item is not returnable. View return policy
Product Code. 18345914 Supplier Novus Biologicals Supplier No. NBP313978100UG

Please to purchase this item. Need a web account? Register with us today!

This item is not returnable. View return policy

Mouse Monoclonal Antibody

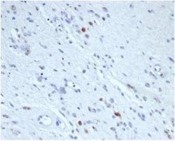
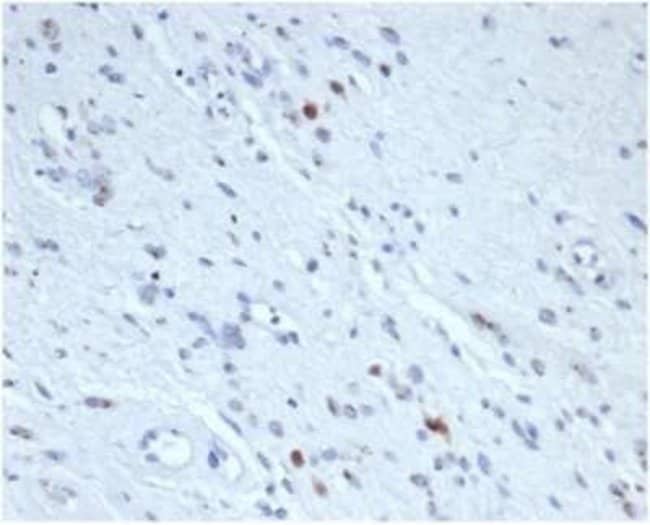
Myogenin Monoclonal antibody specifically detects Myogenin in Human samples. It is validated for Immunohistochemistry (Paraffin)
TRUSTED_SUSTAINABILITY

Specifications

Antigen Myogenin
Applications Immunohistochemistry (Paraffin)
Classification Monoclonal
Clone rMYOG/6297
Concentration 0.2 mg/ml
Conjugate Unconjugated
Dilution Immunohistochemistry-Paraffin 1-2 ug/ml
Formulation 10 mM PBS with 0.05% BSA
Gene Accession No. P15173
Gene Alias BHLHC3, bHLHc3Myogenic factor-4; myogenin, Class C basic helix-loop-helix protein 3, myf-4, MYF4myogenin, Myogenic factor 4, MYOGENIN, myogenin (myogenic factor 4)
Host Species Mouse
Immunogen Recombinant full-length human Myogenin protein (Uniprot: P15173)
Purification Method Protein A or G purified
Quantity 100 μg
Regulatory Status RUO
Research Discipline Cancer, Stem Cell Markers, Transcription Factors and Regulators
Primary or Secondary Primary
Gene ID (Entrez) 4656
Target Species Human
Content And Storage Store at 4°C.
Form Purified
Isotype IgG1 κ
Show More Show Less
Product Title
Select an issue

By clicking Submit, you acknowledge that you may be contacted by Fisher Scientific in regards to the feedback you have provided in this form. We will not share your information for any other purposes. All contact information provided shall also be maintained in accordance with our Privacy Policy.