missing translation for 'onlineSavingsMsg'
Learn More
Learn More
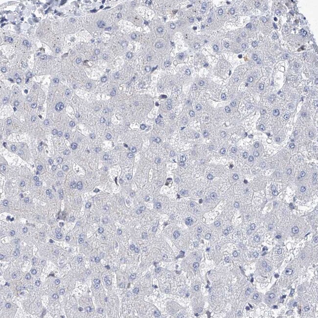
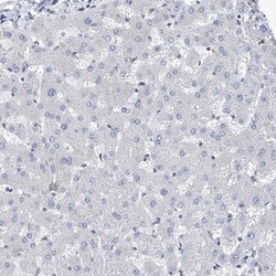
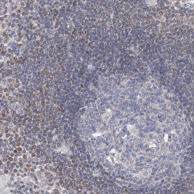
Invitrogen™ MX2 Polyclonal Antibody

Rabbit Polyclonal Antibody
Brand: Invitrogen™ PA583132
This item is not returnable.
View return policy
Description
Immunogen sequence: PYRRRSQFSS RKYLKKEMNS FQQQPPPFGT VPPQMMFPPN WQGAEKDAAF LAKDFNFLTL NNQPPPGNRS QPRAMG Highest antigen sequence indentity to the following orthologs: Mouse - 28%, Rat - 29%.
Members of the Dynamin family include GTPase, microtubule-associated proteins that are involved in cellular trafficking, including microtubule bundling and endocytosis. Mx1, also known as MxA, an interferon (IFN)-induced protein, acquires a high degree of resistance to influenza A virus and the rhabdo-virus vesicular stomatitis virus (VSV), which suggests that Mx1 plays an active role against influenza virus and the rhabdovirus VSV. Mx1 is a cytoplasmic protein that is 63% identical to the Mx2 protein, which lacks antiviral activity. Mx2 is also known as MxB and is localized at the cytoplasmic face of nuclear pores. Mx2 expression is not interferon-dependent and this protein is thought to regulate the efficiency and/or kinetics of nuclear import, a function which may have been usurped by its antiviral relatives.
Specifications
| MX2 | |
| Polyclonal | |
| Unconjugated | |
| MX2 | |
| AI528743; interferon-induced GTP-binding protein Mx2; interferon-induced GTP-binding protein Mx3; interferon-regulated resistance GTP-binding protein MXB; MX dynamin like GTPase 2; MX dynamin-like GTPase 2; Mx2; Mx-2; Mx3; MXB; myxovirus (influenza virus) resistance 2; myxovirus (influenza virus) resistance 3; myxovirus resistance protein 2; myxovirus resistance protein 3; p78-related protein; protein MxB; second interferon-induced protein p78 | |
| Rabbit | |
| Antigen affinity chromatography | |
| RUO | |
| 4600 | |
| Store at 4°C short term. For long term storage, store at -20°C, avoiding freeze/thaw cycles. | |
| Liquid |
| Immunohistochemistry (Paraffin) | |
| 0.2 mg/mL | |
| PBS with 40% glycerol and 0.02% sodium azide; pH 7.2 | |
| P20592 | |
| MX2 | |
| Recombinant protein corresponding to Human MX2. Recombinant protein control fragment (Product #RP-95904). | |
| 100 μL | |
| Primary | |
| Human | |
| Antibody | |
| IgG |
Product Content Correction
Your input is important to us. Please complete this form to provide feedback related to the content on this product.
Product Title
Spot an opportunity for improvement?Share a Content Correction