missing translation for 'onlineSavingsMsg'
Learn More
Learn More
Description
Immunogen sequence: MEHNGSASNA DKIHQNRLSS VTEDEDQDAA LTIVTVLDKV ASIVDSVQAS QKRIEERHRE MENAIKSVQI DLLKLSQSHS NTGHIINKLF Highest antigen sequence identity to the following orthologs: Mouse - 92%, Rat - 91%.
MURC induces RHOA activation and activates NPPA transcription and myofibrillar organization through the Rho/ROCK signaling pathway.
Specifications
Specifications
| Antigen | MURC |
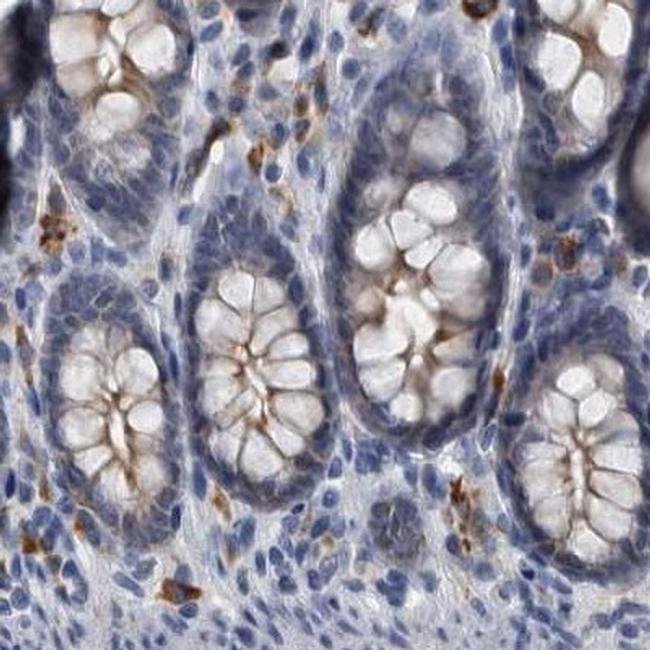
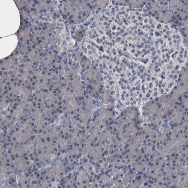
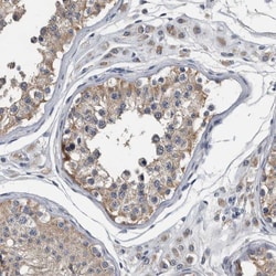
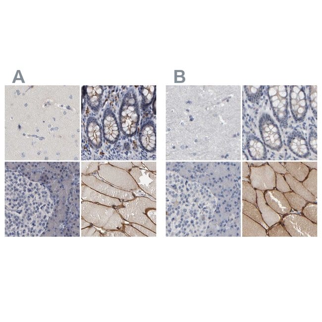
| Applications | Immunohistochemistry (Paraffin) |
| Classification | Polyclonal |
| Concentration | 0.05 mg/mL |
| Conjugate | Unconjugated |
| Formulation | PBS with 40% glycerol and 0.02% sodium azide; pH 7.2 |
| Gene | CAVIN4 |
| Gene Accession No. | Q5BKX8 |
| Gene Alias | 2310039E09Rik; Caveolae-associated protein 4; cavin 4; CAVIN4; cavin-4; Murc; muscle related coiled-coil protein; muscle-related coiled-coil protein; Muscle-restricted coiled-coil protein |
| Gene Symbols | CAVIN4 |
| Show More |
Product Title
By clicking Submit, you acknowledge that you may be contacted by Fisher Scientific in regards to the feedback you have provided in this form. We will not share your information for any other purposes. All contact information provided shall also be maintained in accordance with our Privacy Policy.
Spot an opportunity for improvement?
