missing translation for 'onlineSavingsMsg'
Learn More
Learn More
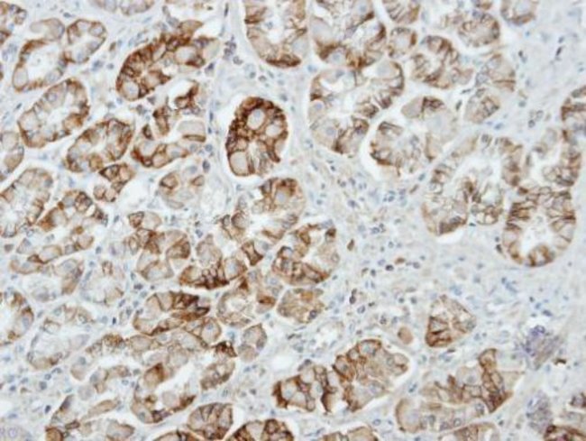
Invitrogen™ Munc13-4 Polyclonal Antibody

Description
Recommended positive controls: Jurkat, K562. Store product as a concentrated solution. Centrifuge briefly prior to opening the vial.
This gene encodes a protein that is a member of the UNC13 family, containing similar domain structure as other family members but lacking an N-terminal phorbol ester-binding C1 domain present in other Munc13 proteins. The protein appears to play a role in vesicle maturation during exocytosis and is involved in regulation of cytolytic granules secretion. Mutations in this gene are associated with familial hemophagocytic lymphohistiocytosis type 3, a genetically heterogeneous, rare autosomal recessive disorder.
Specifications
Specifications
| Antigen | Munc13-4 |
| Applications | Immunohistochemistry (Paraffin), Western Blot, Immunocytochemistry |
| Classification | Polyclonal |
| Concentration | 1 mg/mL |
| Conjugate | Unconjugated |
| Formulation | 0.1M tris glycine with 10% glycerol and 0.01% thimerosal; pH 7 |
| Gene | Unc13d |
| Gene Accession No. | Q70J99 |
| Gene Alias | 2610108D09Rik; FHL3; HLH3; HPLH3; Jinx; likely ortholog of H. sapiens unc-13 homolog D (UNC13D); mFLJ00067; munc 13-4; Munc13-4; Protein unc-13 homolog D; unc-13 homolog D; unc-13 homolog D (C. elegans); Unc13d |
| Gene Symbols | Unc13d |
| Show More |
Product Title
By clicking Submit, you acknowledge that you may be contacted by Fisher Scientific in regards to the feedback you have provided in this form. We will not share your information for any other purposes. All contact information provided shall also be maintained in accordance with our Privacy Policy.
Spot an opportunity for improvement?