missing translation for 'onlineSavingsMsg'
Learn More

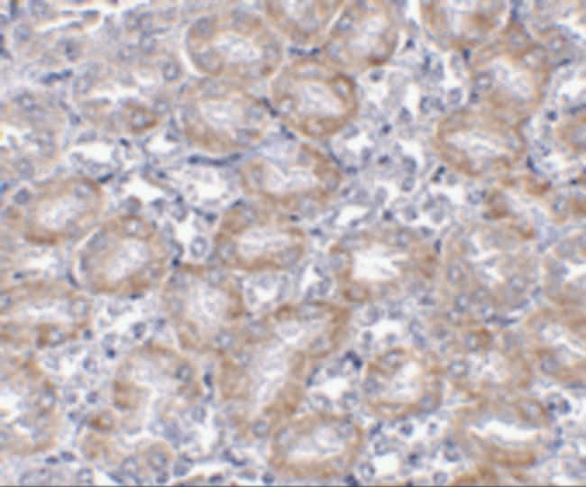
Invitrogen™ MTCH2 Polyclonal Antibody
GREENER_CHOICE

Product Code. 12818842
Change view
Click to view available options
Quantity:
100 μg
Unit Size:
100µg
1 product options available for selection
Product selection table with 1 available options. Use arrow keys to navigate and Enter or Space to select.
Product Code. Quantity unitSize
12818842 100 μg 100µg
Use arrow keys to navigate between rows. Press Enter or Space to select a product option. 1 options available.
1 options
This item is not returnable. View return policy
Product Code. 12818842 Supplier Invitrogen™ Supplier No. PA520696

Please to purchase this item. Need a web account? Register with us today!

This item is not returnable. View return policy

Rabbit Polyclonal Antibody

A suggested positive control is 293 cell lysate. PA5-20696 can be used with blocking peptide PEP-0811.

MTCH2 is a member of the mitochondrial carrier protein family that catalyze the exchange of substrates across the inner mitochondrial membrane and is targeted by Bid, a pro-apoptotic Bcl-2 family member, in response to apoptotic signals, suggesting that MTCH2 may play a key role in the mitochondrial apoptosis pathway. Apoptosis plays a major role in normal organism development, tissue homeostasis, and removal of damaged cells. Disruption of this process has been implicated in a variety of diseases such as cancer. The Bcl-2 family of proteins is comprised of critical regulators of apoptosis that can be divided into two classes: those that inhibit apoptosis and those that promote cell death.
TRUSTED_SUSTAINABILITY

Specifications

Antigen MTCH2
Applications Immunohistochemistry, Western Blot, Immunocytochemistry
Classification Polyclonal
Concentration 1 mg/mL
Conjugate Unconjugated
Formulation PBS with 0.02% sodium azide
Gene Mtch2
Gene Accession No. Q791V5, Q9Y6C9
Gene Alias 2310034D24Rik; 4930539J07Rik; HSPC032; Met-induced mitochondrial protein; MIMP; mitochondrial carrier 2; mitochondrial carrier homolog 2; mitochondrial carrier homolog 2 (C. elegans); Mtch2; SLC25A50; solute carrier family 25, member 50
Gene Symbols Mtch2
Host Species Rabbit
Immunogen A 15 amino acid peptide near the amino terminus of human MTCH2.
Purification Method Antigen affinity chromatography
Quantity 100 μg
Regulatory Status RUO
Primary or Secondary Primary
Gene ID (Entrez) 23788, 56428
Target Species Human, Mouse
Content And Storage Maintain refrigerated at 2°C to 8°C for up to 3 months. For long term storage store at -20°C
Product Type Antibody
Form Liquid
Isotype IgG
Show More Show Less
Product Title
Select an issue

By clicking Submit, you acknowledge that you may be contacted by Fisher Scientific in regards to the feedback you have provided in this form. We will not share your information for any other purposes. All contact information provided shall also be maintained in accordance with our Privacy Policy.