missing translation for 'onlineSavingsMsg'
Learn More
Learn More
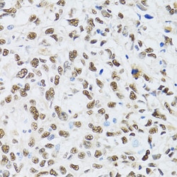
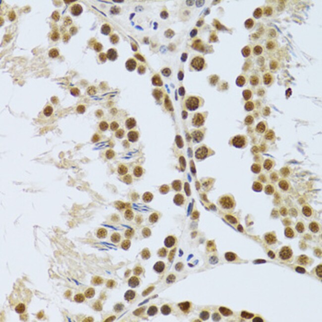
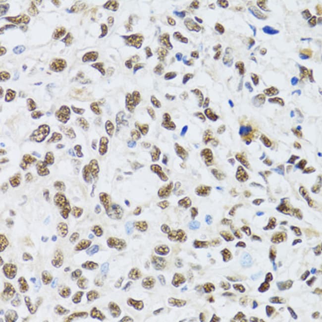
Invitrogen™ MTA3 Polyclonal Antibody

Rabbit Polyclonal Antibody
Brand: Invitrogen™ PA576979
This item is not returnable.
View return policy
Description
The antibody was affinity-purified from rabbit antiserum by affinity-chromatography using epitope-specific immunogen and the purity is > 95% (by SDS-PAGE).
Plays a role in maintenance of the normal epithelial architecture through the repression of SNAI1 transcription in a histone deacetylase-dependent manner, and thus the regulation of E-cadherin levels. Contributes to transcriptional repression by BCL6. [UniProt].
Specifications
| MTA3 | |
| Polyclonal | |
| Unconjugated | |
| Mta3 | |
| 1110002J22Rik; KIAA1266; metastasis associated 1 family member 3; metastasis associated 1 family, member 3; metastasis associated 3; metastasis associated family, member 3; metastasis associated gene family, member 3; metastasis-associated protein MTA3; mKIAA1266; Mta3 | |
| Rabbit | |
| Antigen affinity chromatography | |
| RUO | |
| 100362346, 116871, 57504 | |
| Store at 4°C short term. For long term storage, store at -20°C, avoiding freeze/thaw cycles. | |
| Liquid |
| Immunohistochemistry (Paraffin), Western Blot | |
| 1 mg/mL | |
| PBS with 50% glycerol and 0.02% sodium azide; pH 7.2 | |
| Q924K8, Q9BTC8 | |
| Mta3 | |
| Recombinant full length Human MTA3. | |
| 100 μL | |
| Primary | |
| Human, Mouse, Rat | |
| Antibody | |
| IgG |
Product Content Correction
Your input is important to us. Please complete this form to provide feedback related to the content on this product.
Product Title
Spot an opportunity for improvement?Share a Content Correction