missing translation for 'onlineSavingsMsg'
Learn More

MSY2 Rabbit anti-Human, Mouse, Rat, Polyclonal, Proteintech

Rabbit Polyclonal Antibody

£135.00 - £349.00

Specifications

Antigen MSY2
Concentration 0.33 mg/mL
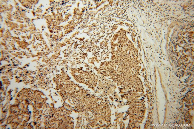
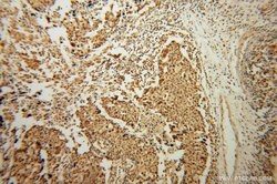
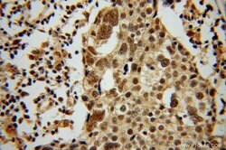
Applications Immunohistochemistry (Paraffin), Immunoprecipitation, Western Blot
Classification Polyclonal
Conjugate Unconjugated
View More Specs

Products 2
Product Code Brand Quantity Price Quantity & Availability  
Product Code Brand Quantity Price Quantity & Availability  
16821804
View Documents
Proteintech
13538-1-AP-20UL
20 μL This item is currently unavailable or has been discontinued.
View the product page for possible alternatives.
N/A View alternative products
Save Up to 
»
16811804
View Documents
Proteintech
13538-1-AP-150UL
150 μL This item is currently unavailable or has been discontinued.
View the product page for possible alternatives.
N/A View alternative products
Save Up to 
»
Description

Description

YBX2 is a germ-cell specific member of the vertebrate Y box family of nucleic acid-binding proteins.
Specifications

Specifications

MSY2
Immunohistochemistry (Paraffin), Immunoprecipitation, Western Blot
Unconjugated
Rabbit
Rat, Human, Mouse
Q9Y2T7, Q9Z2C8
303250, 51087, 53422
MSY2 Fusion Protein Ag4465
Primary
-20°C
YBX2
0.33 mg/mL
Polyclonal
Liquid
RUO
PBS with 50% glycerol and 0.02% sodium azide; pH 7.3
CONTRIN, CSDA3, DBPC, DNA binding protein C, MSY2, MSY2 homolog, Y box binding protein 2, YBX2
Ybx2
IgG
Antigen Affinity Chromatography
Antibody
Videos
SDS
Documents

Documents

Product Certifications
Product Content Correction

Your input is important to us. Please complete this form to provide feedback related to the content on this product.

Product Title

By clicking Submit, you acknowledge that you may be contacted by Fisher Scientific in regards to the feedback you have provided in this form. We will not share your information for any other purposes. All contact information provided shall also be maintained in accordance with our Privacy Policy.

Thank You! Your feedback has been submitted. Fisher Scientific is always working to improve our content for you. We appreciate your feedback.