missing translation for 'onlineSavingsMsg'
Learn More
Learn More
Invitrogen™ MST1/MST2 Polyclonal Antibody

Rabbit Polyclonal Antibody
Brand: Invitrogen™ PA536100
This item is not returnable.
View return policy
Description
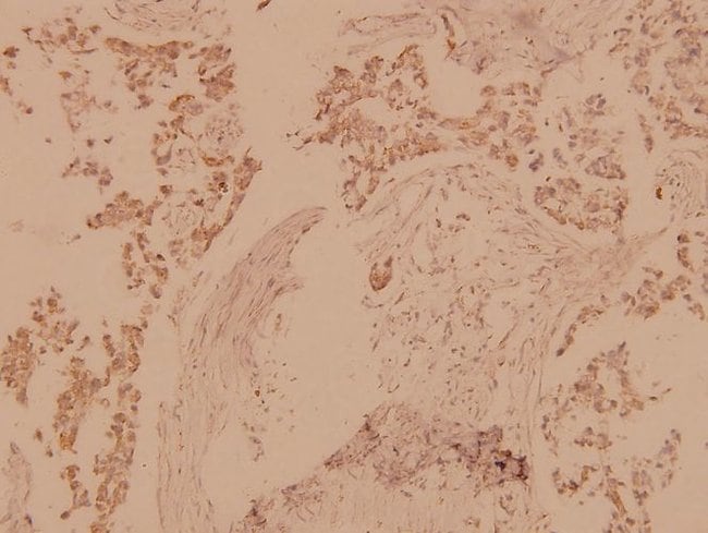
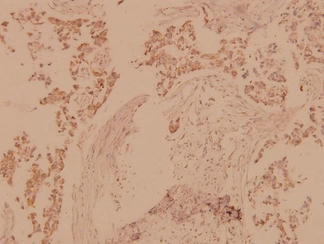
This antibody detects endogenous protein at a molecular weight of 56 kDa. Purity is >95% by SDS-PAGE.
STK3 and STK4 are stress-activated, pro-apoptotic kinases which, following caspase-cleavage, enters the nucleus and induces chromatin condensation followed by internucleosomal DNA fragmentation. They are key components of the Hippo signaling pathway which plays a pivotal role in organ size control and tumor suppression by restricting proliferation and promoting apoptosis. The core of this pathway is composed of a kinase cascade wherein STK3/MST2 and STK4/MST1, in complex with its regulatory protein SAV1, phosphorylates and activates LATS1/2 in complex with its regulatory protein MOB1, which in turn phosphorylates and inactivates YAP1 oncoprotein and WWTR1/TAZ. Phosphorylation of YAP1 by LATS2 inhibits its translocation into the nucleus to regulate cellular genes important for cell proliferation, cell death, and cell migration. STK3/MST2 and STK4/MST1 are required to repress proliferation of mature hepatocytes, to prevent activation of facultative adult liver stem cells (oval cells), and to inhibit tumor formation. Phosphorylates NKX2-1. Phosphorylates NEK2 and plays a role in centrosome disjunction by regulating the localization of NEK2 to centrosome, and its ability to phosphorylate CROCC and CEP250. In conjunction with SAV1, activates the transcriptional activity of ESR1 through the modulation of its phosphorylation. Positively regulates RAF1 activation via suppression of the inhibitory phosphorylation of RAF1 on 'Ser-259'. Phosphorylates MOBKL1A and RASSF2. Phosphorylates MOBKL1B on 'Thr-74'. Acts cooperatively with MOBKL1B to activate STK38.
Specifications
| MST1/MST2 | |
| Polyclonal | |
| Unconjugated | |
| STK4 | |
| 0610042I06Rik; AI447339; AU020804; Kas-2; KB-1458E12.1; kinase responsive to stress 2; KRS1; KRS2; mammalian STE20-like protein kinase 1; Mammalian STE20-like protein kinase 2; mammalian sterile 20-like 1; mess1; MST; MST1; MST-1; MST1/C; MST1/C STK4; MST1/N; MST2; MST-2; MST2/C; MST2/N; Mst3; protein kinase homolog; serine/threonine kinase 3; serine/threonine kinase 3 (STE20 homolog, yeast); serine/threonine kinase 3 (Ste20, yeast homolog); serine/threonine kinase 4; serine/threonine-protein kinase 3; Serine/threonine-protein kinase 3 20kDa subunit; Serine/threonine-protein kinase 3 36kDa subunit; Serine/threonine-protein kinase 4; Serine/threonine-protein kinase 4 18kDa subunit; Serine/threonine-protein kinase 4 37kDa subunit; Serine/threonine-protein kinase Krs-1; serine/threonine-protein kinase Krs-2; Ste20; STE20-like kinase MST1; STE20-like kinase MST2; sterile 20-like kinase 1; STK3; Stk4; Yeast Sps1/Ste20-related kinase 3; YSK3 | |
| Rabbit | |
| Antigen affinity chromatography | |
| RUO | |
| 311622, 56274, 58231, 65189, 6788, 6789 | |
| Store at 4°C short term. For long term storage, store at -20°C, avoiding freeze/thaw cycles. | |
| Liquid |
| Immunohistochemistry (Paraffin), Western Blot | |
| 1 mg/mL | |
| PBS with 50% glycerol and 0.02% sodium azide; pH 7.2 | |
| O54748, Q13043, Q13188, Q9JI10, Q9JI11 | |
| Stk3, STK4 | |
| Synthetic peptide corresponding to amino acids 150-200 of human MST1. | |
| 100 μL | |
| Primary | |
| Human, Mouse, Rat | |
| Antibody | |
| IgG |
Product Content Correction
Your input is important to us. Please complete this form to provide feedback related to the content on this product.
Product Title
Spot an opportunity for improvement?Share a Content Correction