Learn More
Invitrogen™ MRPL46 Polyclonal Antibody

Rabbit Polyclonal Antibody
Brand: Invitrogen™ PA590459
Description
Immunogen sequence: MAAPVRRTLL GVAGGWRRFE RLWAGSLSSR SLALAAAPSS NGSPWRLLGA LCLQRPPVVS KPLTPLQEEM ASLLQQIEIE RSLYSDHELR ALDENQRLAK KKADLHDEED EQDILLAQDL EDMWEQKFLQ FKLGARITEA DEKNDRTSLN RKLDRNLVLL VREKFGDQDV WILPQAEWQP GETLRGTAER TLATLSENNM EAKFLGNAPC GHYTFKFPQA MRTESNLGAK VFFFKALLLT GDFSQAGNKG HHVWVTKDEL GDYLKPKYLA QVRRFVSDL; Positive Samples: Mouse brain; Cellular Location: Mitochondrion.
Mammalian mitochondrial ribosomal proteins are encoded by nuclear genes and help in protein synthesis within the mitochondrion. Mitochondrial ribosomes (mitoribosomes) consist of a small 28S subunit and a large 39S subunit. They have an estimated 75% protein to rRNA composition compared to prokaryotic ribosomes, where this ratio is reversed. Another difference between mammalian mitoribosomes and prokaryotic ribosomes is that the latter contain a 5S rRNA. Among different species, the proteins comprising the mitoribosome differ greatly in sequence, and sometimes in biochemical properties, which prevents easy recognition by sequence homology. This gene encodes a 39S subunit protein.
Specifications
| MRPL46 | |
| Polyclonal | |
| Unconjugated | |
| MRPL46 | |
| 3110052F15Rik; 39S ribosomal protein L46, mitochondrial; C15orf4; C80107; L46mt; LIECG2; Mitochondrial large ribosomal subunit protein mL46; mitochondrial ribosomal protein L46; Mrpl46; MRP-L46; P2ECSL | |
| Rabbit | |
| Affinity chromatography | |
| RUO | |
| 26589, 67308 | |
| -20°C, Avoid Freeze/Thaw Cycles | |
| Liquid |
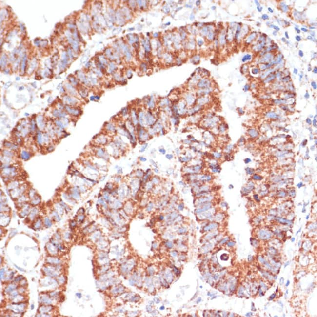
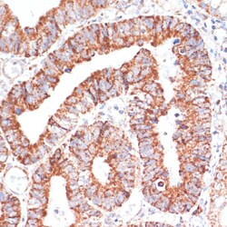
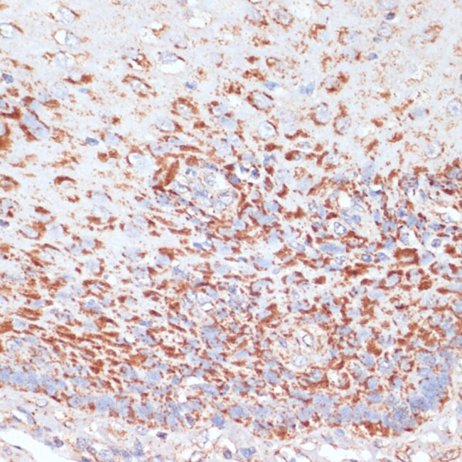
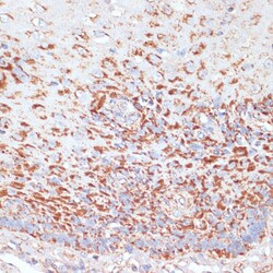
| ELISA, Immunohistochemistry (Paraffin), Western Blot | |
| 0.57 mg/mL | |
| PBS with 50% glycerol and 0.01% thimerosal; pH 7.3 | |
| Q9EQI8, Q9H2W6 | |
| MRPL46 | |
| Recombinant protein (or fragment). | |
| 100 μL | |
| Primary | |
| Human, Mouse | |
| Antibody | |
| IgG |
Your input is important to us. Please complete this form to provide feedback related to the content on this product.