missing translation for 'onlineSavingsMsg'
Learn More

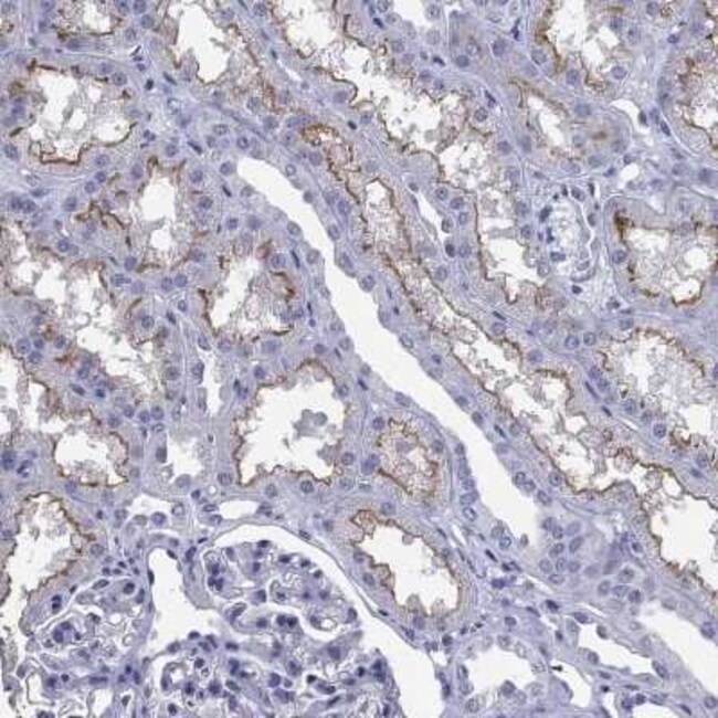
MRP2 Rabbit anti-Human, Polyclonal, Novus Biologicals™

Product Code. 18370543
Change view
Click to view available options
Quantity:
100 μg
25 μg
Unit Size:
100µL
25µL
2 product options available for selection
Product selection table with 2 available options. Use arrow keys to navigate and Enter or Space to select.
Product Code. Quantity unitSize
18370543 100 μg 100µL
18334305 25 μg 25µL
Use arrow keys to navigate between rows. Press Enter or Space to select a product option. 2 options available.
2 options
This item is not returnable. View return policy
Produktkod. 18370543 Leverantör Bio-Techne Leverantörsnummer NBP317039100UL

Please to purchase this item. Need a web account? Register with us today!

Denna artikel kan inte returneras. Se returpolicy

Rabbit Polyclonal Antibody

MRP2 Polyclonal antibody specifically detects MRP2 in Human samples. It is validated for Immunohistochemistry, Immunohistochemistry (Paraffin)
TRUSTED_SUSTAINABILITY

Specifikationer

Antigen MRP2
Applications Immunohistochemistry, Immunohistochemistry (Paraffin)
Classification Polyclonal
Conjugate Unconjugated
Dilution Immunohistochemistry 1:20 - 1:50, Immunohistochemistry-Paraffin 1:20 - 1:50
Formulation PBS, pH 7.2, 40% glycerol
Gene Alias ATP-binding cassette, sub-family C (CFTR/MRP), member 2, Canalicular multidrug resistance protein, canalicular multispecific organic anion transporter 1, CMOAT1, CMOATABC30, CMRP, DJS, KIAA1010, MRP2ATP-binding cassette sub-family C member 2, Multidrug resistance-associated protein 2
Host Species Rabbit
Immunogen This antibody was developed against Recombinant Protein corresponding to amino acids: NNESSNNPSSIASFLSSITYSWYDSIILKGYKRPLTLEDVWEVDEEMKTKTLVSKFETHMKRELQKARRALQRRQEKSSQQNSGAR
Purification Method Affinity purified
Quantity 100 μg
Regulatory Status RUO
Research Discipline ABC Transporters, Amino Acids Drugs and other small molecules, Cancer, Diabetes Research, Lipid and Metabolism
Primary or Secondary Primary
Gene ID (Entrez) 1244
Target Species Human
Content And Storage Store at 4°C short term. Aliquot and store at -20°C long term. Avoid freeze-thaw cycles.
Form Purified
Isotype IgG
Visa mer Visa mindre
Produkttitel
Välj ett problem

Genom att klicka på Skicka bekräftar du att du kan bli kontaktad av Fisher Scientific angående feedbacken du har lämnat i detta formulär. Vi kommer inte att dela din information för andra ändamål. All kontaktinformation som tillhandahålls ska också underhållas i enlighet med vår Sekretesspolicy.