missing translation for 'onlineSavingsMsg'
Learn More
Learn More
Invitrogen™ MRP1 Monoclonal Antibody (IU2H10)

Mouse Monoclonal Antibody
Brand: Invitrogen™ MA516112
This item is not returnable.
View return policy
Description
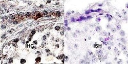
MRP1 Monoclonal Antibody for Western Blot, IHC (P), ICC/IF, ISH
The protein encoded by this gene is a member of the superfamily of ATP-binding cassette (ABC) transporters. ABC proteins transport various molecules across extra-and intra-cellular membranes. ABC genes are divided into seven distinct subfamilies (ABC1, MDR/TAP, MRP, ALD, OABP, GCN20, White). This full transporter is a member of the MRP subfamily which is involved in multi-drug resistance. This protein functions as a multispecific organic anion transporter, with oxidized glutathione, cysteinyl leukotrienes, and activated aflatoxin B1 as substrates. This protein also transports glucuronides and sulfate conjugates of steroid hormones and bile salts. Alternative splicing by exon deletion results in several splice variants but maintains the original open reading frame in all forms.
Specifications
| MRP1 | |
| Monoclonal | |
| 1 mg/mL | |
| PBS with 0.02% sodium azide | |
| O35379, P33527, Q8CG09 | |
| ABCC1 | |
| Recombinant peptide (a.a. 1-33) of human MRP1. | |
| 100 μL | |
| Primary | |
| Human, Mouse, Rat | |
| Antibody | |
| IgG1 |
| Immunohistochemistry (Paraffin), In Situ Hybridization (ISH), Western Blot, Immunocytochemistry | |
| IU2H10 | |
| Unconjugated | |
| ABCC1 | |
| ABC29; ABCC; Abcc1; Abcc1a; Abcc1b; ATP binding cassette subfamily C member 1; ATP-binding cassette sub-family C ( CFTR/MRP) member 1a; ATP-binding cassette sub-family C member 1; ATP-binding cassette transporter variant ABCC1delta-ex13; ATP-binding cassette transporter variant ABCC1delta-ex13&14; ATP-binding cassette transporter variant ABCC1delta-ex25; ATP-binding cassette transporter variant ABCC1delta-ex25&26; ATP-binding cassette, subfamily C (CFTR/MRP), member 1; ATP-binding cassette, sub-family C (CFTR/MRP), member 1; ATP-binding cassette, sub-family C (CFTR/MRP), member 1a; ATP-binding cassette, sub-family C (CFTR/MRP), member 1b; Avcc1a; DKFZp686N04233; DKFZp781G125; Glutathione-S-conjugate-translocating ATPase ABCC1; GS-X; leuk; leukotriene C(4) transporter; LTC4 transporter; Mdrap; MRP; Mrp1; multidrug resistance protein 1; multidrug resistance-associated protein 1; multiple drug resistance-associated protein | |
| Mouse | |
| Protein G | |
| RUO | |
| 17250, 24565, 4363 | |
| -20°C or -80°C if preferred | |
| Liquid |
Product Content Correction
Your input is important to us. Please complete this form to provide feedback related to the content on this product.
Product Title
Spot an opportunity for improvement?Share a Content Correction