missing translation for 'onlineSavingsMsg'
Learn More

Mouse Desmocollin-3 Antibody, R&D Systems™

Rat Monoclonal Antibody

Brand:  R&D Systems MAB7265

Product Code. 18130721

  • £345.00 / 100µg

Please to purchase this item. Need a web account? Register with us today!

This item is not returnable. View return policy

Description

Description

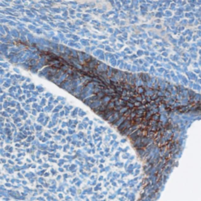
Desmocollin-3 Monoclonal specifically detects Desmocollin-3 in Mouse samples. It is validated for Western Blot, Immunohistochemistry.
TRUSTED_SUSTAINABILITY
Specifications

Specifications

Desmocollin-3
Monoclonal
LYOPH
Western Blot 1 ug/mL, Immunohistochemistry 8-25 ug/mL
P55850
DSC3
Mouse myeloma cell line NS0-derived recombinant mouse Desmocollin-3 Arg136-Leu695 Accession # P55850
100 μg
Primary
Detects mouse Desmocollin-3 in direct ELISAs and Western blots. In direct ELISAs and Western blots, less than 20% cross-reactivity with recombinant human Desmocollin-3 is observed and no cross-reactivity with recombinant mouse (rm) Desmocollin-1 or rmDesmocollin-2 is observed.
Mouse
Purified
Western Blot, Immunohistochemistry
765129
Unconjugated
Lyophilized from a 0.2 μm filtered solution in PBS with Trehalose. *Small pack size (SP) is supplied as a 0.2 μm filtered solution in PBS. with No Preservative
Cadherin family member 3, CDHF3, CDHF3HT-CP, desmocollin 3, Desmocollin3, desmocollin-4, DSC, DSC1, DSC2, DSC3, DSC4, DSC4desmocollin-3, HT-CP
Rat
Protein A or G purified from hybridoma culture supernatant
RUO
1825
Sterile PBS to a final concentration of 0.5 mg/mL.
Use a manual defrost freezer and avoid repeated freeze-thaw cycles. 12 months from date of receipt, -20 to -70 degreesC as supplied. 1 month, 2 to 8 degreesC under sterile conditions after reconstitution. 6 months, -20 to -70 degreesC under sterile conditions after reconstitution.
IgG2a
Product Suggestions

Product Suggestions

Videos
SDS
Documents

Documents

Certificates
Promotions

Promotions

Product Content Correction

Your input is important to us. Please complete this form to provide feedback related to the content on this product.

Product Title

By clicking Submit, you acknowledge that you may be contacted by Fisher Scientific in regards to the feedback you have provided in this form. We will not share your information for any other purposes. All contact information provided shall also be maintained in accordance with our Privacy Policy.

Thank You! Your feedback has been submitted. Fisher Scientific is always working to improve our content for you. We appreciate your feedback.