missing translation for 'onlineSavingsMsg'
Learn More

CGB, Mouse, Clone: HCGb/54, Abnova™

Mouse monoclonal antibody raised against CGB.

Brand:  Abnova MAB11284.100ug

Product Code. 16080686

  • £432.00 / 100µg

Please to purchase this item. Need a web account? Register with us today!

This item is not returnable. View return policy

Description

Description

This gene is a member of the glycoprotein hormone beta chain family and encodes the beta 3 subunit of chorionic gonadotropin (CG). Glycoprotein hormones are heterodimers consisting of a common alpha subunit and an unique beta subunit which confers biological specificity. CG is produced by the trophoblastic cells of the placenta and stimulates the ovaries to synthesize the steroids that are essential for the maintenance of pregnancy. The beta subunit of CG is encoded by 6 genes which are arranged in tandem and inverted pairs on chromosome 19q13.3 and contiguous with the luteinizing hormone beta subunit gene. [provided by RefSeq

Specifications

Specifications

CGB
Monoclonal
Unconjugated
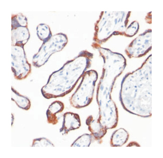
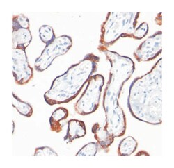
Immunohistochemistry (Formalin/PFA-fixed paraffin-embedded sections) (1:200-1:400) The optimal working dilution should be determined by the end user.
CGB
CGB
Recombinant protein corresponding to full length human CGB.
100 μg
Primary
Human
Liquid
Immunohistochemistry (PFA fixed)
HCGb/54
Mouse monoclonal antibody raised against CGB.
In 0.2mg/mL PBS (0.05% BSA, 0.05% sodium azide)
CGB3/hCGB
Mouse
Protein G affinity chromatography
RUO
1082
Store at 4°C. For long term storage store at -20°C.
Aliquot to avoid repeated freezing and thawing.
IgG1 κ
Product Suggestions

Product Suggestions

Videos
SDS
Documents

Documents

Certificates
Promotions

Promotions

Product Content Correction

Your input is important to us. Please complete this form to provide feedback related to the content on this product.

Product Title

By clicking Submit, you acknowledge that you may be contacted by Fisher Scientific in regards to the feedback you have provided in this form. We will not share your information for any other purposes. All contact information provided shall also be maintained in accordance with our Privacy Policy.

Thank You! Your feedback has been submitted. Fisher Scientific is always working to improve our content for you. We appreciate your feedback.