Learn More
Invitrogen™ MMP9 Recombinant Rabbit Monoclonal Antibody (JA80-73)

Rabbit Recombinant Monoclonal Antibody
Brand: Invitrogen™ MA532705
Description
Recombinant rabbit monoclonal antibodies are produced using in vitro expression systems. The expression systems are developed by cloning in the specific antibody DNA sequences from immunoreactive rabbits. Then, individual clones are screened to select the best candidates for production. The advantages of using recombinant rabbit monoclonal antibodies include: better specificity and sensitivity, lot-to-lot consistency, animal origin-free formulations, and broader immunoreactivity to diverse targets due to larger rabbit immune repertoire.
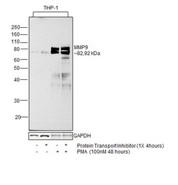
MMP9 (matrix metallopeptidase 9, GELB, CLG4B) is a matrix metalloproteinase, a family of zinc and calcium-dependent endopeptidases that degrade extracellular matrix proteins. MMP9 is secreted as a 92kDa zymogen and cleavage of pro-MMP9 results in the active enzyme with a molecular weight of 82kDa. MMP9 has a gelatin-binding domain consisting of three fibronectin type II units, a catalytic domain containing the zinc-binding site, a proline-rich type V collagen-homologous domain and a hemopexin-like domain. MMP9 is produced by monocytes, macrophages, neutrophils, keratinocytes, fibroblasts, osteoclasts and endothelial cells, and is involved in inflammatory responses, tissue remodeling, wound healing, tumor growth and metastasis. MMP9 is supplied by bone marrow-derived cells and contributes to skin carcinogenesis. Further, MMP9 degrades type IV and V collagens. Studies in rhesus monkeys suggest that the enzyme is involved in IL-8-induced mobilization of hematopoietic progenitor cells from bone marrow, and murine studies suggest a role in tumor-associated tissue remodeling. Studies have shown that elevated MMP9 is associated with progression of idiopathic atrial fibrillation and aortic aneurysm.
Specifications
| MMP9 | |
| Recombinant Monoclonal | |
| 1 mg/mL | |
| TBS with 0.05% BSA, 40% Glycerol and 0.05% sodium azide; pH 7.4 | |
| P14780, P50282 | |
| MMP9 | |
| Synthetic peptide within Human MMP9 aa 71-120. | |
| 100 μL | |
| Primary | |
| Human, Rat, Rat | |
| Antibody | |
| IgG |
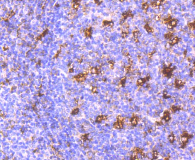
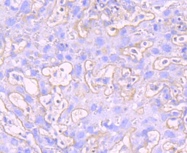
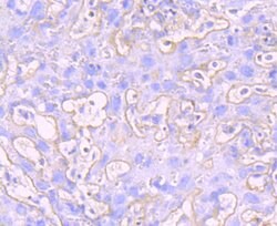
| Flow Cytometry, Immunohistochemistry (Paraffin), Western Blot, Immunocytochemistry, Western Blot | |
| JA80-73 | |
| Unconjugated | |
| MMP9 | |
| 67 kDa matrix metalloproteinase-9; 82 kDa matrix metalloproteinase-9; 92 kDa gelatinase; 92 kDa type IV collagenase; 92kD gelatinase; 92kD type IV collagenase; 92kDa gelatinase; 92kDa type IV collagenase; 92-kDa type IV collagenase; AW743869; B/MMP9; Clg4b; collagenase type IVB; fj05a08; Gel B; gelatinase B; Gelatinase-B; GELB; macrophage gelatinase; MANDP2; matrix metallo protease; matrix metallopeptidase 9; matrix metallopeptidase 9 (gelatinase B, 92kDa gelatinase, 92kDa type IV collagenase); matrix metalloproteinase 9; matrix metalloproteinase 9 (gelatinase B 92-kDa type IV collagenase); matrix metalloproteinase 9 (gelatinase B, 92kDa gelatinase, 92kDa type IV collagenase); matrix metalloproteinase 9 (gelatinase B, 92kDa matrix metalloproteinase 9 (gelatinase B, 92kDa gelatinase, 92kDa type IV collagenase); matrix metalloproteinase 9 (gelatinase B, 92-kDa type IV collagenase); Matrix metalloproteinase9; matrix metalloproteinase-9; MMP; Mmp9; MMP-9; mmp9 protein; MMP-9 protein; MMPs; Preproform of 92-kDa type IV collagenase (MMP-9): N-terminal; pro-MMP-9; type IV collagenase; type V collagenase; wu:fb02g06; wu:fb07b05; wu:fi98c09; wu:fj05a08; ZFMMP-9; zgc:64165 | |
| Rabbit | |
| Protein A | |
| RUO | |
| 4318, 81687 | |
| Store at 4°C short term. For long term storage, store at -20°C, avoiding freeze/thaw cycles. | |
| Liquid |
Din input är viktig för oss. Fyll i det här formuläret för att ge feedback relaterad till innehållet på denna produkt.