missing translation for 'onlineSavingsMsg'
Learn More
Learn More
Invitrogen™ MMP2 Monoclonal Antibody (2C1)

Mouse Monoclonal Antibody
Brand: Invitrogen™ MA116640
This item is not returnable.
View return policy
Description
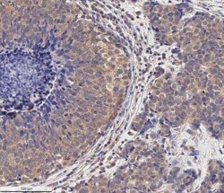
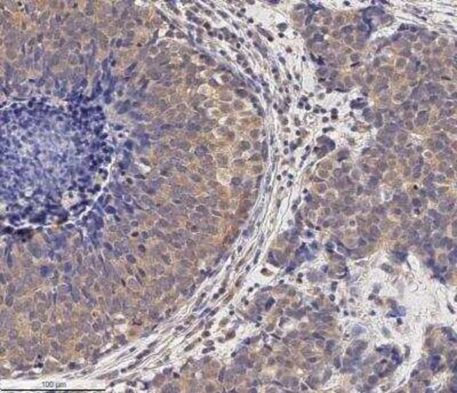
This antibody is not recommended for Immunohistochemistry on paraffin-embedded sections. Suggested positive control: lung, nerve, and various tumors.
MMP (matrix metalloproteinase) are proteolytic enzymes capable of degrading connective tissue components. MMP have a common mode of activation, a conserved amino acid sequence in the putative metal binding-active site region, and are inhibited by specific tissue inhibitors of metalloproteinases (TIMPs). MMPa and TIMPs play a significant role in regulating angiogenesis. MMP2 is synthesized as a 631 amino acid proenzyme which is activated by cleavage of the first 80 amino acids, and contains the basic structure of propeptide, catalytic, and hemopexin domains. The matrix metalloproteinases (MMPs) are a family of at least eighteen secreted and membrane-bound zincendopeptidases. Collectively, these enzymes can degrade all the components of the extracellular matrix, including fibrillar and non-fibrillar collagens, fibronectin, laminin and basement membrane glycoproteins. In general, a signal peptide, a propeptide, and a catalytic domain containing the highly conserved zinc-binding site characterizes the structure of the MMPs. Functionally, MMP2 is involved in tissue remodeling. Mutations in MMP-2 gene have been associated with Winchester syndrome and Nodulosis-Arthropathy-Osteolysis (NAO) syndrome. Two transcript variants encoding different isoforms of MMP-2 have been found.
Specifications
| MMP2 | |
| Monoclonal | |
| 1.0 mg/mL | |
| PBS with 0.02% sodium azide | |
| P08253, P33434, P33436 | |
| MMP2 | |
| Activated recombinant human MMP2. | |
| 100 μL | |
| Primary | |
| Human, Mouse, Rat, Guinea Pig | |
| Antibody | |
| IgG1 κ |
| ELISA, Flow Cytometry, Immunohistochemistry (Frozen), Immunohistochemistry (Paraffin), Immunoprecipitation, Western Blot | |
| 2C1 | |
| Unconjugated | |
| MMP2 | |
| 72 kDa gelatinase; 72 kDa type IV collagenase; 72 kDa type IV collagenase isoform a preproprotein; 72kD gelatinase; 72kD type IV collagenase; 72kDa gelatinase; 72kDa type IV collagenase; CLG 4A; CLG4; CLG4A; Collagenase; collagenase type IV-A; endopeptidase; GelA; gelatinase A; Gelatinase alpha; Mat; matrix metallo protease; matrix metallopeptidase 2; matrix metallopeptidase 2 (gelatinase A, 72kDa gelatinase, 72kDa type IV collagenase); matrix metalloprotease 2; matrix metalloproteinase; matrix metalloproteinase 2; matrix metalloproteinase 2 (72 KDa type IV collagenase); matrix metalloproteinase 2 (gelatinase A, 72kDa gelatinase, 72kDa type IV collagenase); matrix metalloproteinase-2; matrix metalloproteinase-II; MMP; MMP2; MMP-2; MMP-2 protein; MMP-II; MMPs; MONA; neutrophil gelatinase; PEX; prepro-72kDa matrix metalloproteinase; Progelatinase A; TBE1; TBE-1; wu:fa99h12; wu:fk89d01 | |
| Mouse | |
| Protein G | |
| RUO | |
| 100719361, 17390, 4313, 81686 | |
| -20°C, Avoid Freeze/Thaw Cycles | |
| Liquid |
Product Content Correction
Your input is important to us. Please complete this form to provide feedback related to the content on this product.
Product Title
Spot an opportunity for improvement?Share a Content Correction