Learn More
Invitrogen™ MMP12 Recombinant Rabbit Monoclonal Antibody (SR03-23)

Rabbit Recombinant Monoclonal Antibody
Brand: Invitrogen™ MA532011
Description
Recombinant rabbit monoclonal antibodies are produced using in vitro expression systems. The expression systems are developed by cloning in the specific antibody DNA sequences from immunoreactive rabbits. Then, individual clones are screened to select the best candidates for production. The advantages of using recombinant rabbit monoclonal antibodies include: better specificity and sensitivity, lot-to-lot consistency, animal origin-free formulations, and broader immunoreactivity to diverse targets due to larger rabbit immune repertoire.
Proteins of the matrix metalloproteinase (MMP) family are involved in the breakdown of extracellular matrix in normal physiological processes, such as embryonic development, reproduction, and tissue remodeling, as well as in disease processes, such as arthritis and metastasis. Most MMP's are secreted as inactive proproteins which are activated when cleaved by extracellular proteinases. It is thought that the protein encoded by this gene is cleaved at both ends to yield the active enzyme, but this processing has not been fully described. The enzyme degrades soluble and insoluble elastin. It may play a role in aneurysm formation and studies in mice suggest a role in the development of emphysema. The gene is part of a cluster of MMP genes which localize to chromosome 11q22. 3.
Specifications
| MMP12 | |
| Recombinant Monoclonal | |
| 1 mg/mL | |
| TBS with 0.05% BSA, 40% Glycerol and 0.05% sodium azide; pH 7.4 | |
| P34960, P39900, Q63341 | |
| Mmp12 | |
| Synthetic peptide within Human MMP12 aa 421-470. | |
| 100 μL | |
| Primary | |
| Human, Mouse, Rat | |
| Antibody | |
| IgG |
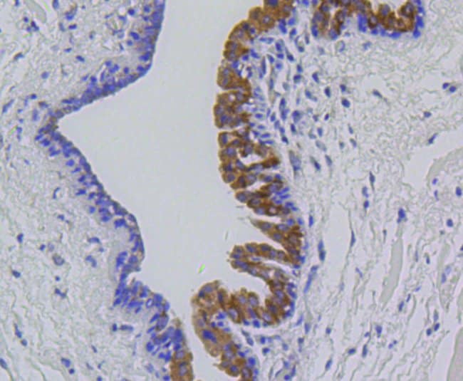
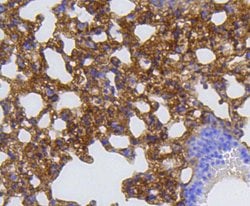
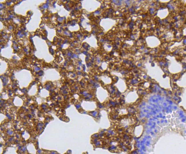
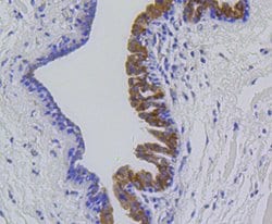
| Flow Cytometry, Immunohistochemistry (Paraffin), Western Blot, Immunocytochemistry, Western Blot | |
| SR03-23 | |
| Unconjugated | |
| Mmp12 | |
| 3.4.24.65; AV378681; HME; Macrophage elastase; macrophage metalloelastase; macrophage-metalloelastase; matrix metallo protease; matrix metallopeptidase 12; matrix metallopeptidase 12 (macrophage elastase); matrix metalloproteinase 12; matrix metalloproteinase 12 (macrophage elastase); matrix metalloproteinase-12; ME; MGC138506; MME; Mmel; MMP; Mmp12; MMP-12; MMPs | |
| Rabbit | |
| Protein A | |
| RUO | |
| 117033, 17381, 4321 | |
| Store at 4°C short term. For long term storage, store at -20°C, avoiding freeze/thaw cycles. | |
| Liquid |
Your input is important to us. Please complete this form to provide feedback related to the content on this product.