missing translation for 'onlineSavingsMsg'
Learn More
Learn More
Invitrogen™ MMAB Monoclonal Antibody (OTI5G1)

Mouse Monoclonal Antibody
Brand: Invitrogen™ MA525381
This item is not returnable.
View return policy
Description
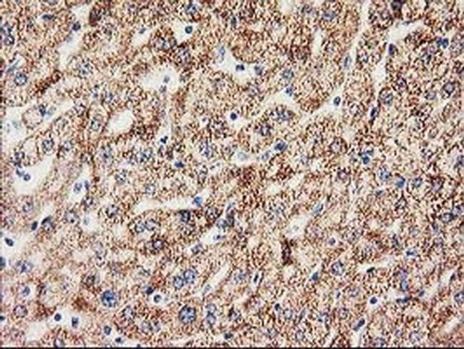
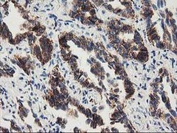
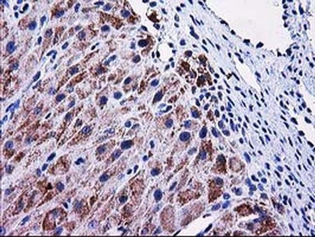
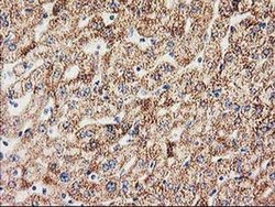
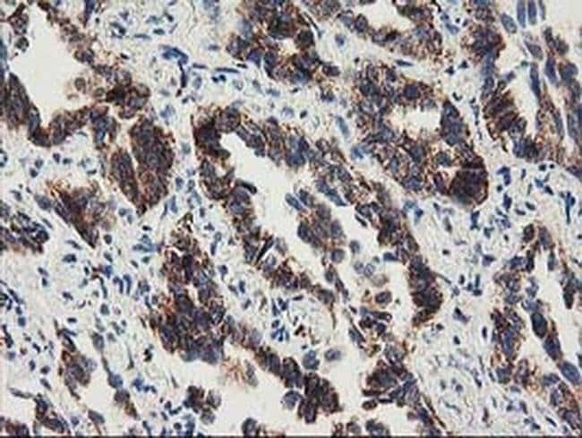
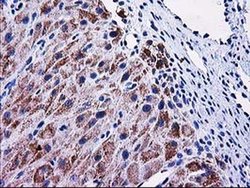
MMAB Monoclonal Antibody for Western Blot, IHC (P), Flow
This gene encodes a protein that catalyzes the final step in the conversion of vitamin B(12) into adenosylcobalamin (AdoCbl), a vitamin B12-containing coenzyme for methylmalonyl-CoA mutase. Mutations in the gene are the cause of vitamin B12-dependent methylmalonic aciduria linked to the cblB complementation group.
Specifications
| MMAB | |
| Monoclonal | |
| 0.39 mg/mL | |
| PBS with 1% BSA, 50% glycerol and 0.02% sodium azide; pH 7.3 | |
| Q96EY8 | |
| MMAB | |
| Full length human recombinant protein of MMAB produced in HEK293T cell. | |
| 100 μL | |
| Primary | |
| Human | |
| Antibody | |
| IgG2a |
| Flow Cytometry, Immunohistochemistry (Paraffin), Western Blot | |
| OTI5G1 | |
| Unconjugated | |
| MMAB | |
| 9130222L19Rik; aquocob(I)alamin vitamin B12s adenosyltransferase; ATP:Cob(I)alamin Adenosyltransferase; ATP:corrinoid adenosyltransferase; ATR; cblB; CFAP23; cilia and flagella associated protein 23; cob; cob(I)alamin adenosyltransferase; cob(I)yrinic acid a,c-diamide adenosyltransferase, mitochondrial; Cob(II)alamin adenosyltransferase; Cob(II)yrinic acid a,c-diamide adenosyltransferase; Cobinamide/cobalamin adenosyltransferase; Corrinoid adenosyltransferase; methylmalonic aciduria (cobalamin deficiency) cblB type; methylmalonic aciduria (cobalamin deficiency) type B homolog (human); methylmalonic aciduria type B homolog; Methylmalonic aciduria type B protein; Mmab | |
| Mouse | |
| Affinity Chromatography | |
| RUO | |
| 326625 | |
| -20°C, Avoid Freeze/Thaw Cycles | |
| Liquid |
Product Content Correction
Your input is important to us. Please complete this form to provide feedback related to the content on this product.
Product Title
Spot an opportunity for improvement?Share a Content Correction