missing translation for 'onlineSavingsMsg'
Learn More
Learn More
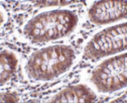
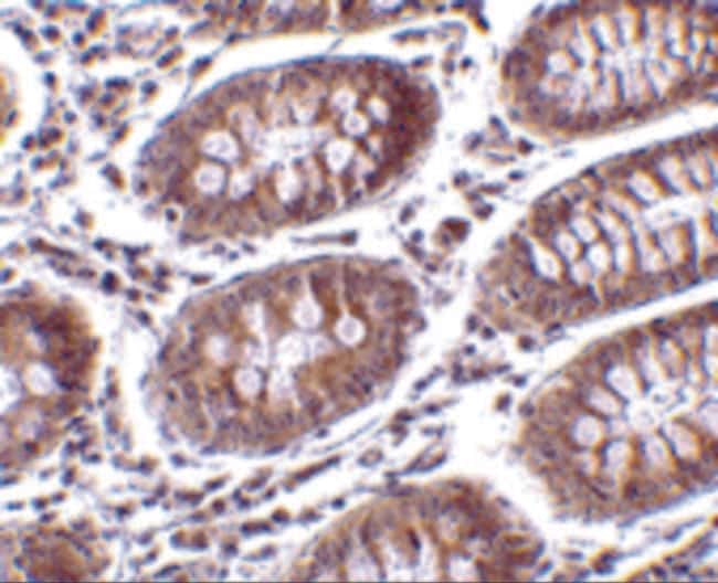
Invitrogen™ MICA Polyclonal Antibody

Description
A suggested positive control is A549 cell lysate. PA5-20393 can be used with blocking peptide PEP-0510.
Major histocompatibility complex (MHC) class I proteins are ubiquitously expressed and mediate the recognition of intracellular antigens by cytotoxic T cells. A related family, termed the MHC class I chain-related (MIC) proteins are recognized by NKG2D, a receptor on NK and T cells, and promote anti-tumor activity. MICA, a member of the MIC family, is widely expressed on many tumors, and it is the MICA/NKG2D interaction that is thought to stimulate the anti-tumor reactivity by T lymphocytes. Both MICA and MICB mRNA are widely expressed in normal tissues, with MICA being present in virtually every tissue except the nervous system, suggesting that MIC protein expression may only be one component of the anti-tumor activity of the immune system.
Specifications
Specifications
| Antigen | MICA |
| Applications | Immunohistochemistry, Western Blot |
| Classification | Polyclonal |
| Concentration | 1 mg/mL |
| Conjugate | Unconjugated |
| Formulation | PBS with 0.02% sodium azide |
| Gene | MICA |
| Gene Accession No. | Q29983 |
| Gene Alias | DAMA-345G11.2; HLA class I antigen; MHC class I chain-related protein A; MHC class I polypeptide-related sequence A; MHC class I related sequence A; MICA; MIC-A; PERB11.1; stress inducible class I homolog; truncated MHC class I polypeptide-related sequence A |
| Gene Symbols | MICA |
| Show More |
Product Title
By clicking Submit, you acknowledge that you may be contacted by Fisher Scientific in regards to the feedback you have provided in this form. We will not share your information for any other purposes. All contact information provided shall also be maintained in accordance with our Privacy Policy.
Spot an opportunity for improvement?