missing translation for 'onlineSavingsMsg'
Learn More
Learn More
Invitrogen™ mGluR5 Recombinant Rabbit Monoclonal Antibody (HL2876)

Rabbit Recombinant Monoclonal Antibody
Brand: Invitrogen™ MA556789
This item is not returnable.
View return policy
Description
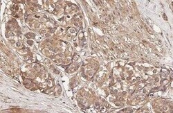
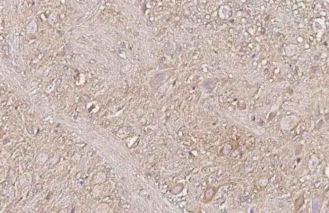
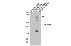
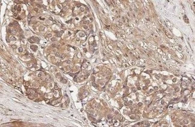
mGluR5 Recombinant Monoclonal Antibody for Western Blot, IHC (P)
GRK1 is a member of the guanine nucleotide protein-coupled (G protein) receptor kinase subfamily of Serine/Threonine kinase family. GRK1 phosphorylates rhodopsin and initiates its deactivation. G protein mediated phosphorylation promotes the binding of arrestin, which removes the receptor from the G-protein and terminates the receptor signal chain. GRK1 is farnesylated to promote membrane association. Studies have shown that GRK1 has been shown to be inhibited by recoverin, a Calcium binding protein. Diseases associated with GRK1 protein dysfunction include Oguchi Disease-2 and Hereditary Night Blindness.
Specifications
| mGluR5 | |
| Recombinant Monoclonal | |
| 1 mg/mL | |
| PBS with no preservative | |
| P31424, P41594, Q3UVX5 | |
| Grm5 | |
| Synthetic peptide encompassing a sequence within the Extracellular domain human of mGluR5. The exact sequence is proprietary. | |
| 100 μL | |
| Primary | |
| Human, Mouse, Rat | |
| Antibody | |
| IgG |
| Immunohistochemistry (Paraffin), Western Blot | |
| HL2876 | |
| Unconjugated | |
| Grm5 | |
| 6430542K11Rik; A830007B11Rik; AI850523; D16Ium24; D16Ium24e; G protein coupled receptor, family C, group 1, member E; G protein-coupled receptor GRM5; G protein-coupled receptor, family C, group 1, member E; Glu5R; Glur5; Glur-5; Glurbeta1; glutamate metabotropic receptor 5; glutamate receptor; glutamate receptor, metabotropic 5; GPRC1A; GPRC1E; GRM 1; GRM 5; GRM1; GRM1 alpha; GRM1A; Grm5; metabotropic 1; metabotropic glutamate receptor (mGluR5); metabotropic glutamate receptor 5; metabotropic glutamate receptor 5b; metabotropic glutamate receptor subtype 5b; metabotropic glutamate receptor type 5; MGC25101; mGlu1; mGlu5; mGluR; mGluR1; mGluR1 alpha; mGluR1A; MGLUR5; mGluR5a; mGluR5b; PPP1R86; protein phosphatase 1, regulatory subunit 86 | |
| Rabbit | |
| Protein A | |
| RUO | |
| 108071, 24418, 2915 | |
| -20°C, Avoid Freeze/Thaw Cycles | |
| Liquid |
Product Content Correction
Your input is important to us. Please complete this form to provide feedback related to the content on this product.
Product Title
Spot an opportunity for improvement?Share a Content Correction