missing translation for 'onlineSavingsMsg'
Learn More
Learn More
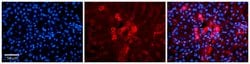
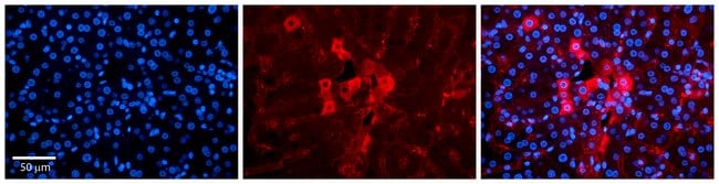
Invitrogen™ METL5 Polyclonal Antibody

Rabbit Polyclonal Antibody
Brand: Invitrogen™ PA570061
This item is not returnable.
View return policy
Description
This target displays homology in the following species: Cow: 93%; Dog: 100%; Guinea Pig: 100%; Horse: 100%; Human: 100%; Mouse: 100%; Rabbit: 100%; Rat: 100%; Zebrafish: 85%.
Catalytic subunit of a heterodimer with TRMT112, which specifically methylates the 6th position of adenine in position 1832 of 18S rRNA. [UniProt].
Specifications
| METL5 | |
| Polyclonal | |
| Unconjugated | |
| METTL5 | |
| 2810410A08Rik; DC3; HSPC133; im:7137598; methyltransferase like 5; methyltransferase-like protein 5; Mettl5; RGD1566062; rRNA N6-adenosine-methyltransferase METTL5; rRNA N6-adenosine-methyltransferase METTL5; methyltransferase-like protein 5; zgc:103655 | |
| Rabbit | |
| Affinity chromatography | |
| RUO | |
| 29081 | |
| -20°C, Avoid Freeze/Thaw Cycles | |
| Liquid |
| Immunohistochemistry, Western Blot, Immunocytochemistry | |
| 0.5 mg/mL | |
| PBS with 2% sucrose and 0.09% sodium azide | |
| Q9NRN9 | |
| METTL5 | |
| synthetic peptide directed towards the N terminal region of human METL5. | |
| 100 μL | |
| Primary | |
| Human | |
| Antibody | |
| IgG |
Product Content Correction
Your input is important to us. Please complete this form to provide feedback related to the content on this product.
Product Title
Spot an opportunity for improvement?Share a Content Correction