missing translation for 'onlineSavingsMsg'
Learn More

Metadherin Recombinant Polyclonal Antibody (21HCLC), Invitrogen™

Rabbit Recombinant Polyclonal Antibody

Brand:  Invitrogen 710202

Product Code. 15347244

  • £410.00 / 100µg

Please to purchase this item. Need a web account? Register with us today!

This item is not returnable. View return policy

Description

Description

Recombinant rabbit polyclonal antibodies are unique offerings from Thermo Fisher Scientific. They are comprised of a selection of multiple different recombinant monoclonal antibodies, providing the best of both worlds - the sensitivity of polyclonal antibodies with the specificity of monoclonal antibodies - all delivered with the consistency only found in a recombinant antibody. While functionally the same as a polyclonal antibody - recognizing multiple epitope sites on the target and producing higher detection sensitivity for low abundance targets - a recombinant rabbit polyclonal antibody has a known mixture of light and heavy chains. The exact population can be produced in every lot, circumventing the biological variability typically associated with polyclonal antibody production.

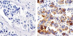
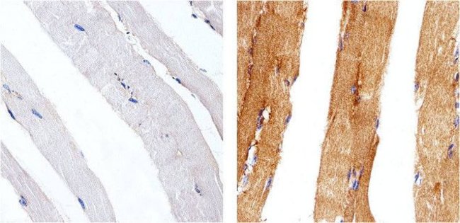
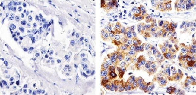
Metadherin (Metastasis adhesion protein), also known as MTDH, LYsine-RIch CEACAM1 co-isolated (LYRIC), is a novel protein that localizes with the tight junction proteins ZO-1 and occludin in polarized epithelial cells. At the tight junction, it acts not as a structural component, but is rather recruited during the maturation of the tight junction complex. Metadherin is overexpressed in breast cancer tissue and breast tumor xenografts, while much lower levels are expressed in normal breast tissue. Metadherin binds to lung vasculature, one of the four common sites of breast cancer metastasis, through a C-terminal segment in the extracellular domain; blocking this lung-homing domain with antibodies or inhibiting metadherin with siRNA has been reported to inhibit breast cancer metastasis.
TRUSTED_SUSTAINABILITY
Specifications

Specifications

Metadherin
Recombinant Polyclonal
0.5 mg/mL
PBS with 0.09% sodium azide
Q80WJ7, Q86UE4
MTDH
Peptide corresponding to amino acids 561–570 of human Metadherin
100 μg
Primary
Human, Mouse
Antibody
IgG
Immunocytochemistry, Immunohistochemistry (Paraffin)
21HCLC
Unconjugated
MTDH
2610103J23Rik; 3D3; 3D3/Lyric; AEG1; AEG-1; astrocyte elevated gene 1; astrocyte elevated gene-1 protein; AV353288; D8Bwg1112e; LYRIC; LYRIC/ MTDH; LYRIC/3D3; lysine-rich CEACAM1 co-isolated protein; Metadherin; metastasis adhesion protein; MTDH; Protein LYRIC
Rabbit
Protein A
RUO
67154, 92140
Store at 4°C short term. For long term storage, store at -20°C, avoiding freeze/thaw cycles.
Liquid
Product Suggestions

Product Suggestions

Videos
SDS
Documents

Documents

Certificates
Promotions

Promotions

Product Content Correction

Your input is important to us. Please complete this form to provide feedback related to the content on this product.

Product Title

By clicking Submit, you acknowledge that you may be contacted by Fisher Scientific in regards to the feedback you have provided in this form. We will not share your information for any other purposes. All contact information provided shall also be maintained in accordance with our Privacy Policy.

Thank You! Your feedback has been submitted. Fisher Scientific is always working to improve our content for you. We appreciate your feedback.