missing translation for 'onlineSavingsMsg'
Learn More

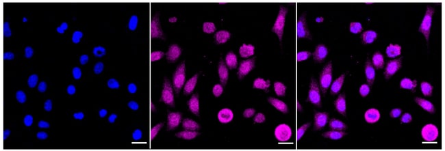
Invitrogen™ MEK3/MEK6 Recombinant Rabbit Monoclonal Antibody (24GB310)

Product Code. 30276511
Change view
Click to view available options
Quantity:
20 μL
100 μL
Unit Size:
100µL
20µL
2 product options available for selection
Product selection table with 2 available options. Use arrow keys to navigate and Enter or Space to select.
Product Code. Quantity unitSize
30276511 20 μL 20µL
30275085 100 μL 100µL
Use arrow keys to navigate between rows. Press Enter or Space to select a product option. 2 options available.
2 options
This item is not returnable. View return policy
Product Code. 30276511 Supplier Invitrogen™ Supplier No. MA557062

Please to purchase this item. Need a web account? Register with us today!

This item is not returnable. View return policy

Rabbit Recombinant Monoclonal Antibody

MEK3/MEK6 Recombinant Monoclonal Antibody for Western Blot, ICC/IF, Flow

This gene encodes a member of the dual specificity protein kinase family, which functions as a mitogen-activated protein kinase kinase. MAP kinases, also known as extracellular signal-regulated kinases, act as an integration point for multiple biochemical signals. This protein phosphorylates and activates p38 MAP kinase in response to inflammatory cytokines or environmental stress. As an essential component of p38 MAP kinase mediated signal transduction pathway, this gene is involved in many cellular processes such as stress induced cell cycle arrest, transcription activation and apoptosis.
TRUSTED_SUSTAINABILITY

Specifications

Antigen MEK3/MEK6
Applications Flow Cytometry, Western Blot, Immunocytochemistry
Classification Recombinant Monoclonal
Clone 24GB310
Conjugate Unconjugated
Formulation PBS with 50% glycerol and 0.02% sodium azide; pH 7.4
Gene MAP2K3
Gene Accession No. O09110, P46734, P52564, P70236
Gene Alias AW212142; dual specificity mitogen-activated protein kinase kinase 3; Dual specificity mitogen-activated protein kinase kinase 6; MAP kinase kinase 3; MAP kinase kinase 6; Map2k3; Map2k6; MAPK/ERK kinase 3; MAPK/ERK kinase 6; MAPKK 3; MAPKK 6; MAPKK3; MAPKK6; MEK 3; MEK 6; MEK3; MEK6; mitogen activated protein kinase kinase 3; mitogen activated protein kinase kinase 6; mitogen-activated protein kinase kinase 3; mitogen-activated protein kinase kinase 6; MKK3; MKK6; mMKK3b; OTTHUMP00000166044; Prkmk3; Prkmk6; protein kinase, mitogen activated, kinase 6; protein kinase, mitogen-activated, kinase 3; protein kinase, mitogen-activated, kinase 6 (MAP kinase kinase 6); SAPK kinase 2; SAPK kinase 3; SAPKK2; SAPKK-2; SAPKK3; SAPKK-3; SKK2; SKK3; Stress-activated protein kinase kinase 2; stress-activated protein kinase kinase 3
Gene Symbols MAP2K3, MAP2K6
Host Species Rabbit
Immunogen A synthesized peptide derived from human MEK3/MEK6 (aa 300-347).
Purification Method Affinity chromatography
Quantity 20 μL
Regulatory Status RUO
Primary or Secondary Primary
Gene ID (Entrez) 114495, 26397, 26399, 303200, 5606, 5608
Target Species Human, Mouse, Rat
Content And Storage -20°C
Product Type Antibody
Form Liquid
Isotype IgG
Show More Show Less
Product Title
Select an issue

By clicking Submit, you acknowledge that you may be contacted by Fisher Scientific in regards to the feedback you have provided in this form. We will not share your information for any other purposes. All contact information provided shall also be maintained in accordance with our Privacy Policy.