missing translation for 'onlineSavingsMsg'
Learn More
Learn More
Invitrogen™ MEF2D Polyclonal Antibody

Rabbit Polyclonal Antibody
Brand: Invitrogen™ PA582164
This item is not returnable.
View return policy
Description
Immunogen sequence: VPVSNQSSLQ FSNPSGSLVT PSLVTSSLTD PRLLSPQQPA LQRNSVSPGL PQRPASAGAM LGGDLNSANG ACPSPVGNGY VSARASPGLL PVANGNSLNK VIPAKSPPPP THSTQLGAPS RKPDLRVITS QAG Highest antigen sequence indentity to the following orthologs: Rat - 96%, Mouse - 97%.
This gene is a member of the myocyte-specific enhancer factor 2 (MEF2) family of transcription factors. Members of this family are involved in control of muscle and neuronal cell differentiation and development, and are regulated by class II histone deacetylases. Fusions of the encoded protein with Deleted in Azoospermia-Associated Protein 1 (DAZAP1) due to a translocation have been found in an acute lymphoblastic leukemia cell line, suggesting a role in leukemogenesis. The encoded protein may also be involved in Parkinson disease and myotonic dystrophy. Alternative splicing results in multiple transcript variants.
Specifications
| MEF2D | |
| Polyclonal | |
| Unconjugated | |
| MEF2D | |
| C80750; DKFZp686I1536; MADS box transcription enhancer factor 2, polypeptide D; Mef2d; MEF2D/DAZAP1 fusion; myocyte enhancer factor 2D; myocyte-specific enhancer factor 2D | |
| Rabbit | |
| Antigen affinity chromatography | |
| RUO | |
| 4209 | |
| Store at 4°C short term. For long term storage, store at -20°C, avoiding freeze/thaw cycles. | |
| Liquid |
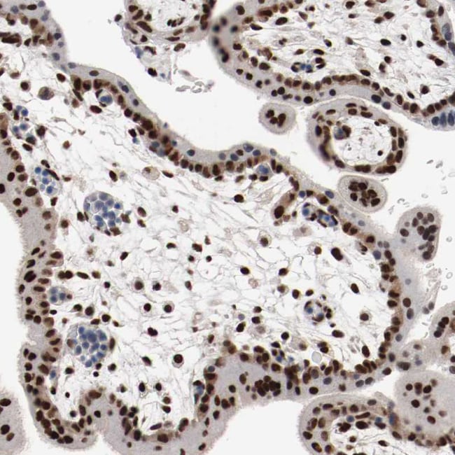
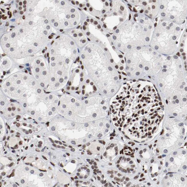
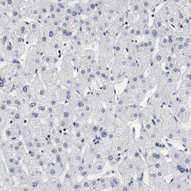
| Immunohistochemistry (Paraffin), Western Blot, Immunocytochemistry | |
| 0.2 mg/mL | |
| PBS with 40% glycerol and 0.02% sodium azide; pH 7.2 | |
| Q14814 | |
| MEF2D | |
| Recombinant protein corresponding to Human MEF2D. Recombinant protein control fragment (Product #RP-102504). | |
| 100 μL | |
| Primary | |
| Human | |
| Antibody | |
| IgG |
Product Content Correction
Your input is important to us. Please complete this form to provide feedback related to the content on this product.
Product Title
Spot an opportunity for improvement?Share a Content Correction